ยอดนิยม

ถ้ามีคนบอกคุณว่า รักษาโรคข้อต่อหลังจากอายุ 50 ปีไม่ได้แล้ว ให้รู้ไว้เลยว่า นั่นไม่จริง!

THAILAND
TV

ในระหว่างการถ่ายทอดสดทางช่อง "THAILAND TV" (รายการที่พูดคุยในหัวข้อ "วิธีดูแลสุขภาพข้อต่อ") นายแพทย์ชื่อดัง คุณสมยศ บางนา จากกรุงเทพฯได้ประกาศว่า ด้วยการค้นพบที่ไม่เหมือนใครของเขา สามารถรักษาโรคข้อต่ออักเสบเรื้อรังที่เป็นมาหลายปีให้หายได้ภายในเวลาแค่ไม่กี่วัน

คุณสมยศ บางนา
ศาสตราจารย์ด้านโรคไขข้อ ประสบการณ์ทางการแพทย์กว่า 40 ปี

อดีตแพทย์ ปัจจุบันเกษียณแล้ว ผู้คิดค้นวิธีการรักษาโรคข้อต่อเรื้อรังแบบทางเลือกที่ไม่ต้องผ่าตัด

เขายืนยันว่า หลักการสำคัญของวิธีใหม่นี้ ไม่ใช่แค่การกินยา แต่เป็นการเข้าใจร่างกายของตัวเองให้ดีขึ้น และใช้ศักยภาพในการรักษาตัวเองด้วยส่วนผสมจากธรรมชาติ

จำข้อเท็จจริงง่ายๆ นี้ไว้ และอย่าไปฟังใคร: โรคข้อต่อรักษาให้หายได้ในทุกช่วงวัย!

— คุณหมอคะ ช่วยบอกหน่อยได้ไหมคะว่า อาการแรกเริ่มของปัญหาข้อต่อมีอะไรบ้าง?

  • ปวดเวลาเคลื่อนไหว

  • ข้อต่อมีเสียงลั่น

  • รู้สึกข้อฝืด โดยเฉพาะตอนเช้า

  • บวมและแดงบริเวณข้อต่อ

— โรคเหล่านี้อันตรายยังไงคะ?

— ในระยะเริ่มต้น โรคเหล่านี้อาจแสดงอาการแค่ไม่สบายตัวเล็กน้อย แต่ถ้าไม่ได้รับการรักษาอย่างเหมาะสม มันสามารถนำไปสู่ผลกระทบร้ายแรงได้: กระดูกอ่อนข้อต่อถูกทำลาย สูญเสียการเคลื่อนไหว ปวดเรื้อรัง สิ่งสำคัญคือ อย่าปล่อยทิ้งไว้! โรคข้อต่อที่ปล่อยปละละเลยอาจทำให้พิการได้

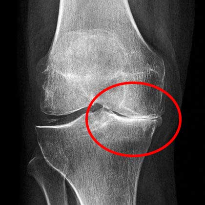
นี่คือภาพรังสีเอกซ์ของข้อเข่าที่ถูกทำลาย

ปัญหาคือ คนส่วนใหญ่มักไม่สนใจอาการแรกเริ่ม พวกเขาคิดว่าอาการปวดเกิดจากความเหนื่อยล้าหรืออายุที่มากขึ้น แต่เมื่ออาการรุนแรงจนทนไม่ไหว โรคก็ลุกลามไปมากแล้ว และการรักษาก็ต้องใช้เวลานานและความพยายามมากขึ้น

— ใครมาขอความช่วยเหลือจากคุณหมอบ่อยที่สุดคะ?

— ผู้ป่วยส่วนใหญ่ของผมคือคนอายุ 40 ปีขึ้นไป ซึ่งเริ่มมีอาการเปลี่ยนแปลงของข้อต่อตามวัย

พวกเขาบ่นเรื่องอาการปวดเรื้อรัง การเคลื่อนไหวที่จำกัด บางครั้งแค่การทำกิจวัตรประจำวันง่ายๆ ก็กลายเป็นเรื่องยาก ผู้ป่วยเหล่านี้มักพูดว่า "ทำไมมันถึงเกิดขึ้นกับฉัน? ฉันทำอะไรผิดไป?" ผมตอบว่า "ปล่อยคำถามไว้ก่อน แล้วมาจัดการกับปัญหาดีกว่าครับ"

— โรคข้อต่อเป็นสิ่งที่หลีกเลี่ยงไม่ได้สำหรับทุกคนที่อายุ 30-40 ปีขึ้นไปใช่ไหมคะ?

— โดยทั่วไปก็ใช่ครับ เมื่ออายุมากขึ้น ข้อต่อก็ต้องรับภาระและการเปลี่ยนแปลง และเกือบทุกคนก็ต้องเจอเรื่องนี้ แต่ไม่ได้หมายความว่าเราทำอะไรกับมันไม่ได้เลย วิธีการรักษาในปัจจุบันช่วยให้เราต่อสู้กับโรคข้อต่อได้อย่างมีประสิทธิภาพในทุกระยะ

ถ้าเรารู้วิธีที่ถูกต้อง เราก็สามารถรักษาข้อต่อได้เองที่บ้านอย่างมีประสิทธิภาพ ผู้ป่วยหลายพันคนของผมฟื้นฟูสุขภาพข้อต่อของพวกเขาได้ด้วยวิธีการเหล่านี้

สมชาย อายุ 64 ปี จังหวัดนครปฐม: "เมื่อก่อนผมขึ้นบันไดไม่ได้เลย เพราะปวดเข่าสุดๆ แต่ตอนนี้เดินเล่นกับหลานๆ ที่สวนสาธารณะได้ทุกวันสบายๆ!"

ประวิทย์ อายุ 50 ปี จังหวัดพัทยา: "ผมทนปวดไหล่มาตลอด จะผูกเชือกรองเท้ายังทรมานเลย ตอนนี้ผมวิ่งออกกำลังกายตอนเช้าได้อีกครั้ง ไม่น่าเชื่อเลยว่ามันจะเป็นไปได้!"

สมศรี อายุ 57 ปี จังหวัดเชียงใหม่: "อาการข้อฝืดทำให้ฉันนอนไม่หลับและไม่มีความสุขกับชีวิต ตอนนี้ฉันรู้สึกเหมือนอายุ 20 อีกครั้ง และในที่สุดก็เริ่มออกกำลังกายได้แล้ว!"

— แล้วเคล็ดลับคืออะไรคะ?

— ในสารานุกรมทางการแพทย์ มีอาการแสดงของปัญหาข้อต่อระบุไว้ถึง 20 แบบ แต่สาเหตุส่วนใหญ่มักมีอย่างเดียวคือ การสะสมสารพิษในร่างกายและการทำลายกระดูกอ่อนข้อต่อ กระบวนการเหล่านี้ทำให้เกิดอาการปวด อักเสบ และเคลื่อนไหวได้น้อยลง

นี่คือเคล็ดลับ: เราฟื้นฟูสุขภาพข้อต่อโดยการล้างสารพิษออกจากร่างกาย และกระตุ้นกลไกการสร้างเนื้อเยื่อข้อต่อตามธรรมชาติ

THAILAND
TV

คุณหมอสมยศ บนเวทีรายการสด เล่าถึงวิธีช่วยผู้ที่มีปัญหาข้อต่อ

— แต่มันไม่ใช่เรื่องที่ยอมรับกันทั่วไปเหรอคะว่า การฟื้นฟูข้อต่อหลังจากอายุ 45 ปีแทบจะเป็นไปไม่ได้?

— ผมพิสูจน์แล้วว่ามันเป็นไปได้! ตั้งแต่เริ่มต้นอาชีพแพทย์ ผมก็ศึกษาเกี่ยวกับปัญหานี้ ผมวิจัยคุณสมบัติของสมุนไพรและพืชต่างๆ ที่มีฤทธิ์ในการล้างพิษอย่างทรงพลังและกระตุ้นกระบวนการสร้างเนื้อเยื่อใหม่ ผมเลือกส่วนผสมหายากเอง ทำยารักษาจากส่วนผสมเหล่านั้น และช่วยให้ผู้ป่วยของผมกลับมามีสุขภาพข้อต่อที่ดี ด้วยประสบการณ์หลายปี ผมพบส่วนผสมที่ลงตัวที่สุดสำหรับการล้างพิษในร่างกายและฟื้นฟูข้อต่อ

ผมสร้างผลิตภัณฑ์ที่ช่วยฟื้นฟูข้อต่อได้ในทุกระยะของโรคและทุกช่วงวัย ผู้ป่วยที่หายดีหลายร้อยคนยืนยันถึงประสิทธิภาพของมัน และที่สำคัญที่สุด ผลิตภัณฑ์นี้ทำจากส่วนผสมธรรมชาติ ไม่มีข้อห้ามใช้ และไม่ก่อให้เกิดผลข้างเคียง

— วิธีที่ดีที่สุดในการกระตุ้นการสร้างข้อต่อใหม่คืออะไรคะ?

— ตอนที่ผมยังทำงานเป็นหมอ ผมทำยารักษาของผมเองตามสูตรพิเศษที่ทดสอบมาหลายปี ผมเฝ้าดูผู้ป่วยทุกคนที่มาหาผมด้วยตัวเอง และเลือกแผนการรักษาที่เหมาะกับแต่ละคน ผมไม่เคยไว้ใจบริษัทใหญ่ๆ เลย และเลยไม่เปิดเผยสูตรของผม แม้ว่าจะมีคนเสนอซื้อสูตรของผมหลายครั้ง ผมคิดว่าบริษัทส่วนใหญ่สนใจแต่ผลกำไร ไม่ได้สนใจสุขภาพของผู้คน ผมเลยเก็บความลับของผมไว้

— ตอนนี้คุณหมอเปลี่ยนใจแล้ว อะไรที่ทำให้คุณหมอเปลี่ยนใจคะ?

— หลังจากเกษียณ ผมคิดว่าหมอและนักวิทยาศาสตร์รุ่นใหม่จะสานต่องานของผม และโรคข้อต่อจะกลายเป็นเรื่องในอดีต ผมเชื่อว่าถ้าผมพัฒนสูตรที่มีประสิทธิภาพได้ คนอื่นๆ ก็คงสร้างอะไรแบบนั้นได้เหมือนกัน แต่ก็ยังมีคนมาหาผมอยู่เรื่อยๆ บ่นว่าการแพทย์สมัยใหม่และยาจากร้านขายยาไม่ได้ช่วยอะไร

โดยเฉพาะอย่างยิ่ง กรณีหนึ่งที่ทำให้ผมตกใจมาก คือผู้ป่วยเก่าของผมคนหนึ่ง พา ลูกชายของเขา มาให้ผมช่วย ผู้ชายอายุ 40 ปีคนนั้นมีปัญหาข้อต่อรุนแรง ในขณะที่พ่อของเขา ซึ่งผมรักษาเมื่อหลายปีก่อน สบายดี ผมตัดสินใจศึกษาผลิตภัณฑ์รักษาข้อต่อที่มีขายในตลาด และตกใจมาก ส่วนใหญ่มีส่วนผสมที่ไม่ได้ผลเหมือนเดิมกับเมื่อหลายสิบปีก่อน

ผมตัดสินใจช่วยลูกชายของผู้ป่วยของผมและคนอื่นๆ ผมรู้ว่าถึงเวลาแล้วที่จะส่งต่อสูตรของผมให้คนที่ไว้ใจได้ ซึ่งจะสานต่องานของผมต่อไป ลูกศิษย์คนหนึ่งของผมเติบโตจนเป็นนักวิทยาศาสตร์ชื่อดังระดับโลก และเป็นหัวหน้าบริษัทผลิตยา ผมรู้จักเขามาหลายปี และรู้ว่าเขาจะทำเพื่อประโยชน์ของคนอื่น ผมไปหาเขาพร้อมสูตรของผม และเสนอให้เขาสร้างผลิตภัณฑ์รักษาข้อต่อจากสูตรนั้น

— ผลิตภัณฑ์ที่คุณพัฒนาขึ้นมาถูกใช้แล้วหรือยังคะ?

— ใช่ครับ วิธีการตามแนวทางของผมถูกนำไปใช้จริงแล้วอย่างประสบความสำเร็จ ผ่านการวิจัยที่จำเป็นทั้งหมด และได้รับการอนุมัติอย่างเป็นทางการให้ใช้ได้ ผู้ใช้กลุ่มแรกจากประเทศไทยได้ลองใช้วิธีนี้แล้ว ผลลัพธ์ที่ได้น่าประทับใจมาก: ผู้คนมากกว่า 5,000 คนฟื้นฟูสุขภาพข้อต่อได้อย่างสมบูรณ์ ซึ่งคิดเป็น 94% ของผู้ที่ทานแคปซูลจากล็อตแรกทั้งหมด ประมาณ 5.6% พบว่าอาการดีขึ้นอย่างเห็นได้ชัด และมีผู้ใช้เพียง 0.4% เท่านั้นที่ไม่มีการเปลี่ยนแปลงที่สังเกตได้

เราตัดสินใจสอบถามความคิดเห็นของผู้ที่ได้ลองใช้แล้ว และโทรหาผู้ซื้อผลิตภัณฑ์สามคน โดยสุ่มเลือกเบอร์โทรศัพท์ของพวกเขา

สมชาย

ผมเริ่มปวดเข่าเมื่อไม่กี่เดือนก่อน โดยเฉพาะตอนเช้า คุณหมอแนะนำการรักษาที่มีค่าใช้จ่ายสูง ซึ่งผมจ่ายไม่ไหว เพื่อนร่วมงานแนะนำให้ลองแคปซูลพวกนี้ ผมเลยตัดสินใจเสี่ยงดู ไม่กี่วันต่อมา อาการปวดก็ลดลง และหลังจากสองสามสัปดาห์ ผมก็ลืมเรื่องความไม่สบายตัวไปเลย ดีใจมากที่เจอทางออกนี้สำหรับตัวเอง

ประวิทย์

ผมทนทุกข์ทรมานจากอาการปวดหลังมาหลายปีเพราะนั่งทำงานตลอด ลองใช้ยาทาและยาเม็ดต่างๆ แต่ก็ไม่ได้ผลอะไรเลย บังเอิญได้ยินเรื่องวิธีการรักษาแบบนี้ และตัดสินใจลองดู แคปซูลพวกนี้ช่วยชีวิตผมไว้จริงๆ อาการปวดหายไป และผมรู้สึกว่าตัวเองกลับมาเป็นคนปกติอีกครั้ง

สมศรี

มันมหัศจรรย์มาก! อาการปวดข้อหายไปหมดภายในไม่กี่วัน ไม่น่าเชื่อเลยว่าปัญหาจะแก้ไขได้เร็วขนาดนี้ และไม่ต้องทำอะไรที่ซับซ้อนด้วย ดีใจและขอบคุณมากๆ ค่ะ

— ผมภูมิใจที่แนวทางของผมช่วยคนได้มากมายขนาดนี้ ถ้าผมพยายามรักษาคนพวกนี้ทีละคน คงต้องใช้เวลาหลายปี ด้วยวิธีการนี้ ผู้ป่วยสามารถดูแลสุขภาพตัวเองได้เองที่บ้าน โดยไม่ต้องไปหาหมอ อนาคตอยู่ที่ทางออกเหล่านี้ — สะดวก เข้าถึงได้ และมีประสิทธิภาพ

— ช่วยบอกชื่อผลิตภัณฑ์ของคุณให้ผู้อ่านของเราทราบหน่อยค่ะ?

— ผลิตภัณฑ์ที่เกิดจากการทุ่มเททางการแพทย์ของผมมาหลายสิบปี มีชื่อว่า Movinix มันช่วยกำจัดอาการปวดข้อและไม่สบายตัวได้ภายใน 4 วัน และฟื้นฟูสุขภาพได้ภายในหนึ่งเดือน แม้ในกรณีที่รุนแรงที่สุด

รูปภาพ: แคปซูล Movinix

— Movinix ทำงานอย่างไรคะ?

— ผลิตภัณฑ์นี้ไม่มีอะไรวิเศษ มีแต่หลักวิทยาศาสตร์และผลการวิจัยหลายปี Movinix ประกอบด้วยส่วนผสมออกฤทธิ์ 12 ชนิด ซึ่งเมื่อรวมกันอย่างลงตัว จะกระตุ้นกระบวนการสร้างเนื้อเยื่อข้อต่อใหม่

วิธีใช้ก็ง่ายมาก: ทานแคปซูลหนึ่งเม็ดตอนเย็นพร้อมอาหาร ผลิตภัณฑ์จะออกฤทธิ์ตลอดทั้งคืน ค่อยๆลดการอักเสบและกระตุ้นการฟื้นฟูเซลล์

THAILAND
TV

รูปภาพ: คุณหมอสมยศ สาธิตวิธีทานแคปซูล Movinix

— น่าประทับใจมากค่ะ แต่เราต้องการคำอธิบายเพิ่มเติมว่ามันหมายถึงอะไรสำหรับคนที่มีปัญหาข้อต่อ?

— มันหมายความว่า ตอนนี้คุณสามารถรักษาโรคข้อต่อได้เองที่บ้าน โดยไม่ต้องไปหาหมอ ไม่ต้องทำหัตถการราคาแพง และไม่ต้องเสียค่าใช้จ่ายเพิ่มเติม Movinix กำจัดสาเหตุหลักของอาการปวด นั่นคือการสะสมสารพิษและการรบกวนกระบวนการเผาผลาญในเนื้อเยื่อ

ในวันแรกที่ทานแคปซูล อาการอักเสบและปวดจะเริ่มลดลง หลังจาก 2-3 สัปดาห์ การสร้างเนื้อเยื่อใหม่จะเสร็จสมบูรณ์ และข้อต่อจะฟื้นฟูอย่างเต็มที่ เพื่อรักษาสภาพให้ดี ควรทานผลิตภัณฑ์เป็นระยะๆ เพื่อป้องกันการกลับมาเป็นซ้ำ

รูปภาพ: ภาพรังสีเอกซ์ของข้อเข่าก่อนและหลังทานแคปซูล Movinix

— Movinix รักษาแค่โรคข้อต่อเท่านั้นเหรอคะ?

— ไม่ครับ ผลิตภัณฑ์นี้มีประสิทธิภาพในการรักษาโรคของระบบกระดูกและกล้ามเนื้อส่วนใหญ่ รวมถึงโรคข้ออักเสบ โรคข้อเสื่อม โรคกระดูกสันหลังเสื่อม โรคไขข้อ และโรคข้อต่ออื่นๆ แคปซูลออกฤทธิ์แบบครอบคลุม ช่วยให้อาการดีขึ้นแม้ในกรณีที่รุนแรง

ผลลัพธ์การรักษาข้อเข่า

ผลลัพธ์การรักษาโรคข้ออักเสบที่มือ

คอลลาเจนที่เป็นส่วนประกอบของแคปซูลเหล่านี้ยังช่วยฟื้นฟูผิว ลดรอยด่าง และทำให้ผิวกระชับขึ้น นอกจากนี้ยังช่วยเสริมสร้างรูขุมขน ทำให้ผมหยุดร่วงและหนาขึ้น หลังจากเริ่มทานแคปซูล ยังพบว่ากระบวนการเผาผลาญเร็วขึ้น ซึ่งนำไปสู่การลดน้ำหนักส่วนเกิน

ผิวอ่อนเยาว์ขึ้นหลังทาน Movinix

ผมเริ่มกลับมาขึ้นใหม่ด้วย Movinix

ลดน้ำหนักได้ใน 3 สัปดาห์ด้วย Movinix

— ฉันคิดว่าผู้อ่านของเราหลายคนคงสงสัยว่าซื้อ Movinix ได้ที่ไหน?

— ตอนนี้ผลิตภัณฑ์มีจำหน่ายในประเทศไทย เราจำหน่ายผ่านเว็บไซต์ทางการของผู้ผลิต เพื่อหลีกเลี่ยงการบวกราคาของคนกลาง

ประสิทธิภาพของ Movinix ได้รับการรับรองด้วยใบรับรองคุณภาพ

เว็บไซต์ทางการของผู้ผลิต

ตอนแรกเราวางแผนที่จะขายในร้านขายยา แต่โชคร้ายที่ร้านขายยาปฏิเสธที่จะร่วมมือ การรักษาที่แท้จริงไม่เป็นประโยชน์ต่อธุรกิจยา ซึ่งให้ความสำคัญกับผลิตภัณฑ์ที่ช่วยบรรเทาอาการชั่วคราวเท่านั้น โดยไม่แก้ปัญหาที่ต้นเหตุ

ดังนั้นตอนนี้เราจึงขายผ่านเว็บไซต์ทางการของผู้ผลิตเท่านั้น วิธีนี้มีข้อดีหลายประการ เราสามารถขายผลิตภัณฑ์ของเราโดยตรง โดยไม่มีคนกลาง ดังนั้นเราจึงสามารถลดราคา ทำให้สินค้านี้ถูกกว่าราคาขายปลีก 4-5 เท่า

การจัดส่งทำทางไปรษณีย์ทั่วประเทศไทย และชำระเงินเมื่อได้รับสินค้า (เก็บเงินปลายทาง) การรักษานี้ใช้เองที่บ้านได้ ดังนั้นคุณจึงไม่จำเป็นต้องอยู่ภายใต้การดูแลของผู้เชี่ยวชาญ อย่างไรก็ตาม ผมไม่ได้ขอให้คุณเชื่อคำพูดของผมอย่างไม่มีเงื่อนไข คุณสามารถลองผลิตภัณฑ์อื่นๆจากผู้ผลิตรายอื่นเพื่อเปรียบเทียบประสิทธิภาพได้ แต่ผมมั่นใจว่าคุณจะหาผลิตภัณฑ์ที่ทรงพลังและมีประสิทธิภาพมากกว่า Movinix ได้ยาก

— ขอบคุณคุณหมอสมยศ สำหรับบทสัมภาษณ์ที่น่าสนใจนี้! ก่อนที่เราจะจบ มีอะไรที่คุณหมออยากจะบอกผู้อ่านของเราไหมคะ?

— ผมอยากเตือนผู้อ่านว่าโรคข้อต่อกำลังแพร่หลายมากขึ้น และไม่ได้ส่งผลกระทบต่อผู้สูงอายุเท่านั้น แม้แต่ความไม่สบายตัวเล็กน้อยหรืออาการปวดข้อเล็กน้อยก็เป็นสัญญาณที่ไม่ควรมองข้าม

และจำไว้ว่า โรคข้อต่อที่เกิดจากการรบกวนกระบวนการเผาผลาญและการอักเสบ ไม่เพียงแต่ทำให้คุณภาพชีวิตแย่ลงเท่านั้น แต่ยังอาจทำให้อายุขัยสั้นลงอย่างมากด้วย ดูแลข้อต่อของคุณตั้งแต่วันนี้ เพื่อหลีกเลี่ยงผลกระทบร้ายแรงในอนาคต

ผมติดต่อผู้ผลิตและถามถึงช่วงเวลาของโปรโมชั่น จากข้อมูล โปรโมชั่นจะสิ้นสุดวันที่ คม 19, 2025 แม้ว่าจะไม่มีโฆษณาแคปซูลเหล่านี้ทางโทรทัศน์และวิทยุ แต่มันก็แพร่กระจายไปในหมู่สาธารณชนด้วยคำวิจารณ์จากคนที่หายดีแล้วด้วยผลิตภัณฑ์นี้ ผมรู้สึกประหลาดใจที่วิธีนี้ได้ผลดีกว่าการโฆษณาจริงๆ

ดังนั้น หากคุณโชคดีและมีโอกาสอ่านบทความนี้ก่อนวันที่ระบุไว้ข้างต้น ให้สั่งซื้อ Movinix ทันที ก่อนที่สินค้าจะหมด! ผมขอแนะนำแคปซูลเหล่านี้อย่างยิ่ง

ผู้อ่านเว็บไซต์ของเราทุกคนสามารถสั่งซื้อ Movinix ได้ในราคาลดสูงสุด 50% เพียงคลิกที่ธงใดธงหนึ่ง กรอกแบบฟอร์มสั่งซื้อด้านล่าง และรับผลิตภัณฑ์

พิเศษสำหรับผู้อ่านของเรา เรามีโปรโมชั่นพิเศษอย่างเป็นทางการจากผู้ผลิต

ถึงวันที่ !

ยินดีด้วย! คุณได้รับส่วนลด 50% สำหรับผลิตภัณฑ์ Movinix

สั่งซื้อ

ความคิดเห็น

สมบัติ

ผมดีใจมากที่คุณหมอสมยศ สร้างผลิตภัณฑ์นี้ขึ้นมา ผมตามหาอะไรแบบนี้มานานแล้ว ผมสั่งซื้อไปแล้ว และจะสั่งซื้ออีก ขอบคุณครับ

ประวิทย์

ผมสั่งซื้อแคปซูลพวกนี้มาทานเอง สินค้ามาถึงเร็วมาก ผลลัพธ์น่าทึ่ง ผมปวดหลังช่วงเอว เคลื่อนไหวลำบากมาก แต่ตอนนี้เหมือนกลับไปเป็นหนุ่มอีกครั้ง! ทำงานได้ ไม่ปวดอะไรแล้ว! ภรรยาผมดีใจจนถ่ายรูปเก็บไว้เลย

สมศักดิ์

ช่วงนี้ผมปวดข้อมาก แล้วผมก็สังเกตว่าเริ่มเป็นเส้นเลือดขอด ได้ยินคนพูดถึง Movinix ในแง่ดีเยอะ เลยลองดู ไม่ได้คาดหวังผลลัพธ์อะไรมาก แต่พอทานไปวันรุ่งขึ้นก็รู้สึกดีขึ้นมาก ทานต่อแล้วก็แฮปปี้กับผลลัพธ์

น้อย

ร้านขายยาพวกนี้สนใจแต่เงินของเรา ฉันรู้จักคนทำงานเป็นเภสัชกร ผู้อำนวยการของเขาไปเที่ยวพวกมัลดีฟส์ตลอด!

สมหญิง

ขอบคุณคุณหมอสมยศ สำหรับผลิตภัณฑ์ดีๆนี้ สั่งซื้อให้สามีเมื่อ 2 เดือนก่อน เขาปวดหลังมาก เริ่มทานตามคำแนะนำในคู่มือ เขาบอกว่าอาการปวดหายไปหมด ไม่เคยปวดอีกเลย ฉันก็ดีใจที่เขาไม่นอนอยู่บ้านเฉยๆแล้ว ช่วยทำงานบ้านได้

สมปอง

ผมสั่งซื้อไปแล้ว ได้ส่วนลด 50% เพราะโปรโมชั่นนี้แหละ! ตอนแรกไม่เชื่อด้วยซ้ำว่าจะมีอะไรแบบนี้

บุษบา

เพื่อนร่วมงานก็ชม Movinix นี้เหมือนกัน พูดถึงแต่เรื่องดีๆ บอกว่าตอนแรกใช้รักษาเข่า แล้วก็รักษาหลัง บอกว่าอาการปวดหายไปหมด ดีกว่าฉีดยาอีก

สมใจ

รู้จักๆ ผลิตภัณฑ์นี้ดีมาก! ช่วงไม่กี่ปีที่ผ่านมา ฉันลองมาหมดแล้ว ยาทา ยาฉีด ยาเม็ด ไม่เห็นได้ผลอะไรเลย โชคดีที่พี่สาวแนะนำ Movinix อาการปวดหายไปเลย แต่ตอนนั้นน่าเสียดายที่ไม่มีโปรโมชั่นแบบนี้ แต่ตอนนี้จะร่วมโปรโมชั่นด้วย ผลิตภัณฑ์แบบนี้ควรมีติดขายตามร้านขายยา

แพรวา

ในที่สุดฉันก็ตื่นมาโดยไม่มีอาการปวดอีกแล้วค่ะ! ขอบคุณคุณหมอสมยศ ทุกวัน ฉันอ่านเจอเกี่ยวกับเขาในหนังสือพิมพ์แล้วก็สั่งผลิตภัณฑ์ของเขา อาการปวดหายไป! ข้อต่อเหยียดออกได้ ฉันเดินเล่นและเพลิดเพลินกับธรรมชาติได้! แถมอาการเส้นเลือดขอดก็ดีขึ้นด้วย มันเป็นความสุขที่ยิ่งใหญ่ที่ได้เดินโดยไม่ปวดและใช้ชีวิตอย่างเต็มที่

ภัทร

ใช่ ธรรมชาติคือหมอที่ดีที่สุด ปู่ของผมเคยบอกว่าสารเคมีมีแต่ทำร้ายเรา

ปานวาด

น่าสนใจ ฉันก็อยากลองเหมือนกัน

พีรวิชญ์

แคปซูลเยี่ยมมาก! ทานมาแค่สัปดาห์เดียว มือก็หายปวดแล้ว

พิมลดา

ลูกสาวฉันสั่งให้ฉันจากที่ไหนก็ไม่รู้ ฉันไม่เคยเชื่อผลิตภัณฑ์สมัยใหม่พวกนี้เลย แต่ครั้งนี้ต้องยอมรับว่า Movinix ช่วยฉันได้ดีกว่าอะไรทั้งหมด! ตอนนี้ฉันทำงานในสวนหลังบ้านได้แล้ว แถมกลับไปทำสิ่งที่ชอบได้ด้วย นั่นก็คือเล่นกีฬา

พัชรี

ฉันสั่งไปเมื่อสัปดาห์ที่แล้ว เมื่อวานได้ของแล้ว ส่งถึงหน้าบ้านโดยพนักงานส่งของ ได้แพ็กเกจในราคาโปรโมชั่นลด 50% อย่างที่บอกไว้ วันนี้เริ่มทานแล้ว เพราะปวดเข่ามาก ทนไม่ไหวแล้ว

ภานุ

ปวดหลังช่วงเอวหนักมาก หลายปีมานี้ผูกเชือกรองเท้ายังลำบากเลย อ่านเจอเรื่อง Movinix ในแง่ดีเยอะ แต่กลัวไม่กล้าสั่ง สรุปคือคิดผิด เสียดายที่ไม่ได้ใช้ก่อนหน้านี้ หายปวดแล้ว ตอนนี้เคลื่อนไหวได้สบาย

ภัทรพล

ทาน Movinix มาเกือบเดือนแล้ว ผลลัพธ์น่าพอใจมาก ผมเป็นโรคข้อเข่าเสื่อมระยะที่ 1 หมอที่คลินิกบอกว่าทำได้แค่ไม่ให้โรคลุกลามไปกว่านี้ รักษาให้หายไม่ได้

ภัทรดนัย

ผลิตภัณฑ์เยี่ยมมาก! หายปวดทันที ทานแคปซูลทุกวัน ตอนนี้ลืมไปแล้วว่าเคยปวดมาก่อน! ลองกับตัวเองแล้ว ได้ผลจริง ไม่ต้องสงสัยเลย

พิมพิศา

เมื่อหลายปีก่อน เราช่วยสามีรักษาเข่าที่ปวดมาหลายปี ลองรักษาด้วยวิธีต่างๆ ทั้งฉีดยา ทายา ฯลฯ จนไม่เชื่อแล้วว่าเข่าจะหายได้ (แถมสามีขึ้นบันไดไม่ได้แล้ว) เขาทาน Movinix ตามคอร์ส ไม่กี่วันก็รู้สึกดีขึ้นแล้ว ตอนนี้เล่นกับหลานๆ ได้ นั่งลงและเดินขึ้นบันไดได้สบาย

แพรพรรณ

ฉันปวดหลังทรมานมากตอนทำสวน โชคดีที่ตะโกนเรียกเพื่อนบ้านได้ เขาเอา Movinix มาให้ ฉันรู้สึกดีขึ้น 20 นาทีหลังจากใช้ แต่หลังจากนั้นก็เริ่มปวดหลังเป็นพักๆ เพื่อนบ้านบอกว่าฉันต้องทานให้ครบตามคอร์ส ฉันเลยสั่งมาทานครบตามคอร์ส ตอนนี้หายปวดแล้ว ทำสวนได้ทั้งวันสบายๆ ไม่ปวดอะไรเลย

ภัทร

ขอบคุณสำหรับข้อมูลครับ! ผมเป็นโรคข้อเข่าเสื่อมมา 12 ปี ใช้ชีวิตแบบ… เหมือนมีชีวิตอยู่ไปวันๆมากกว่า ปวดจริงๆ บางทีปวดหนักจนอยากร้องไห้ ใช้อะไรก็แล้วแต่ ทั้งยาทา ยาเม็ด ซื้อผ้ารัดเข่ามาใส่ก็ไม่ได้ช่วยอะไร แถมพวกยาทาพวกนี้ก็แพง เงินบำนาญผมก็ไม่ได้เยอะ เลยตัดสินใจลองเสี่ยงดู แล้วก็ได้ส่วนลด 50% สำหรับแคปซูล Movinix

ปานวาด

Movinix เป็นผลิตภัณฑ์ที่ดีมากสำหรับโรคข้อเสื่อม! ได้ส่วนลดมา ทั้งๆ ที่หมอของฉันไม่แนะนำ ตอนนี้หมอถึงกับแปลกใจเลยค่ะ! เขาเห็นความคืบหน้าจากภาพเอ็กซ์เรย์ด้วยค่ะ! ฉันจะทานให้ครบตามคอร์ส แล้วดูว่าเขาจะพูดอะไรอีก

พีรวิชญ์

ก่อนอื่นเลย ผมอยากขอบคุณทีมผู้คิดค้น Movinix สำหรับสิ่งประดิษฐ์ที่ยอดเยี่ยมของพวกเขา! พูดตามตรงว่าตอนแรกผมสงสัย คิดว่าคงเป็นแค่ “ยาสารพัดโรค” อีกตัว แต่หลังจากที่ผมใช้ชีวิตโดยไม่ปวด ผมทำได้แค่ขอบคุณผู้คิดค้นจริงๆครับ! เดือนเดียว ผมก็ลืมไปแล้วว่าปวดข้อเป็นยังไง ผมกลับไปเล่นกีฬาได้แล้ว! เมื่อก่อนผมเป็นนักวิ่งมืออาชีพ แต่เพราะโรคข้อเสื่อม ผมวิ่งไม่ได้ เดินปกติยังลำบากเลย! แต่ตอนนี้ผมรู้สึกแข็งแรงดีมาก! ไหนๆทุกคนก็แชร์รูปภาพกัน ผมก็ขอแชร์ความสำเร็จของตัวเองบ้าง

พิมลดา

ฉันสั่งซื้อ Movinix มาใช้กันทั้งครอบครัว ชีวิตฉันกลับมาสดใสอีกครั้ง! เดินเหินได้สะดวก แถมยังทำบ้านใหม่ด้วย (ทาสีพื้น ติดวอลเปเปอร์ ฯลฯ) ช่วยลูกสาวเลี้ยงหลานๆ ขอบคุณมากค่ะ ขอให้คุณสุขภาพแข็งแรงและประสบความสำเร็จในงานที่แสนดีของคุณ! ขอให้โชคดีนะคะเพื่อนๆ ผลิตภัณฑ์ดีๆ แบบนี้ รีบซื้อเลย ไม่ผิดหวังแน่นอน!

ธนง

ทานแคปซูลพวกนี้มา 3 สัปดาห์แล้ว อาการรูมาติซึมและข้ออักเสบหลายข้อดีขึ้นเยอะมาก! มือกลับมาเคลื่อนไหวได้แล้ว! (เมื่อก่อนลุกจากเตียงเองไม่ได้) ผลลัพธ์เกินความคาดหมายไปเยอะ เพราะตอนแรกไม่เชื่อว่าจะได้ผล

พิมพิศา

นั่งทำงานก็ทำลายร่างกายเหมือนกันนะ เหมือนไม่ได้ออกแรงอะไร ทำงานในออฟฟิศ แต่ก็เป็นได้ ปวดหลังมาก ยืนนานๆ หรือก้มตัวไม่ได้ เส้นเลือดขอดเริ่มขึ้น เส้นเลือดบวมมาก หวังว่า Movinix จะช่วยได้ ทานมา 3 วันแล้ว ตอนพักผ่อนกับตอนเดินไม่ปวดแล้ว ดีใจมาก หวังว่าจะหายเร็วๆ นี้ ได้ส่วนลด 50% มาด้วย คุ้มสุดๆ

ปกรณ์

หลังจากทาน Movinix ครบตามคอร์ส อาการดีขึ้นเยอะมาก อาการปวดหายไป เดินได้ปกติ เสียงลั่นในข้อต่อหายไปหมด หลังเริ่มงอได้ปกติ ขาไม่บวมแล้ว คิดว่าผมโชคดีที่ได้รู้จักผลิตภัณฑ์นี้ ทานแคปซูลมา 2 เดือน ผลลัพธ์ดีเยี่ยม

พัชรี

ฉันเป็นโรคข้อสะโพกเสื่อมข้างซ้าย เดินลำบากมาก ปวดมาก ไปทำหัตถการ ฉีดยา อาการดีขึ้น แต่ประมาณเดือนต่อมา โรคก็กำเริบ ตอนนี้สั่งซื้อ Movinix มาแล้ว

ภานุ

ปวดข้อไหล่มาก ใส่เสื้อแจ็กเก็ตทีไรกัดปากจนเลือดออก หายดีขึ้นใน 1.5 เดือนด้วย Movinix

ลดา

ฉันอายุ 71 ปี ป่วยมาก โรคข้ออักเสบทำให้ฉันไม่มีความสุขทั้งกลางวันและกลางคืน ทำให้ชีวิตปกติสุขไม่ได้เพราะปวดข้อตลอดเวลา ข้อต่อผิดรูปหมดแล้ว แต่คนรู้จักเอานิตยสารและหนังสือพิมพ์มาให้ ฉันอ่านเจอเรื่องราวเกี่ยวกับผู้ช่วยแพทย์คนนี้และสิ่งประดิษฐ์ของเขา ฉันเลยซื้อมาทาน เริ่มทานวันละ 3 ครั้ง แทนที่จะเป็นวันละครั้งตามคำแนะนำ ประมาณ 3 สัปดาห์ อาการปวดก็สงบลงและหายไป ฉันโทรบอกทุกคนและแนะนำ Movinix ฉันขอบคุณมากสำหรับผลิตภัณฑ์ดีๆแบบนี้

พีรวิชญ์

อ่านรีวิวของคุณแล้วอยากเชื่อมาก ผมเป็นโรคข้อเข่าเสื่อมระยะที่ 2 มีซีสต์เบเกอร์ มีข้อเยื่อบุข้ออักเสบ ไม่รู้ว่ามันจะช่วยได้ไหม.

ปานวาด

พีรวิชญ์คะ โรคข้อเข่าเสื่อมระยะของคุณต้องทานประมาณ 2 เดือนนะคะ ฉันก็เป็นแบบคุณ หายดีใน 2 เดือนค่ะ

แพรวา

หมอรักษาฉันมา 3 ปีแล้ว หวังว่า Movinix จะช่วยได้ สั่งซื้อไปแล้ว พนักงานผู้หญิงให้คำแนะนำทางโทรศัพท์ จะรอรับของค่ะ

ภัทร

ขอบคุณสำหรับบทความครับ น่าสนใจมาก เรื่องที่หมอสั่งยาแล้วไม่ได้ผลเป็นเรื่องจริง ผมรักษาข้อต่อมา 7 ปีแล้ว ไม่มีความคืบหน้าอะไรเลย!

บรรพต

ผมก็มีประสบการณ์การฟื้นฟูข้อต่อที่ดีเหมือนกัน ใช้ Movinix ไม่ถึง 10 วันก็รู้สึกดีขึ้นมาก เมื่อก่อนมีคนรู้จักแนะนำผลิตภัณฑ์นี้ให้ผม

พิม

เข้าร่วมโปรโมชั่นส่วนลด Movinix แล้วได้ส่วนลด 50%! โปรโมชั่นน่าประทับใจมาก! ขอบคุณสำหรับโปรโมชั่นดีๆ แบบนี้!

จิตรลดา

เป็นโรคข้ออักเสบ ปวดข้อที่มือมาก ทำอะไรด้วยมือไม่ได้เลย ทรมานมา 2 ปี Movinix ช่วยได้ และฉันก็เริ่มรู้สึกดีขึ้นภายในหนึ่งสัปดาห์! รู้สึกดีมาก นี่คือผลิตภัณฑ์ที่ดีที่สุดที่เคยใช้ ตอนนี้มีติดบ้านไว้ในตู้ยา พอเริ่มปวดก็ใช้ทันที อาการปวดก็หายไปเลย! ตอนนี้ทำสิ่งที่ชอบได้แล้ว

เดช

เมื่อวานไปรับของที่ไปรษณีย์มาแล้ว จะเริ่มใช้แล้วครับ

สั่งซื้อ Movinix