Advertorial

บล็อกของ อัญญา พาสุข

การผ่าตัดไม่ได้แก้ปัญหา! วิธีที่ฉันกำจัดอาการปวดเข่าและข้อต่ออย่างรุนแรงภายใน 10 วัน จากประสบการณ์ส่วนตัว

ฉันกลับมาใช้ชีวิตปกติได้อีกครั้ง

สวัสดีค่ะ!

ชื่อของฉันคือ อัญญา พาสุข ค่ะ วันนี้ฉันจะมาแบ่งปันประสบการณ์ของฉันเกี่ยวกับอาการปวดเข่าและข้อต่อที่รุนแรงจนเกือบทำให้ฉันไม่สามารถใช้ชีวิตได้ และวิธีที่ฉันสามารถรักษาให้หายขาดได้โดยไม่ต้องผ่าตัด!

หลังจากอายุ 50 ปี ฉันเริ่มมีอาการปวดข้อเข่าและหลังอย่างรุนแรง โดยเฉพาะที่เข่า ฉันเป็นพนักงานส่งของค่ะ การทำงานหนักทำให้ฉันมีปัญหาเรื่องปวดหลัง ปวดข้อ และต้องแบกของหนักอยู่ตลอด ส่งผลให้กระดูกสันหลังเสื่อม ข้ออักเสบ และข้อตึงมาก ในช่วงแรกฉันแค่ทายาบรรเทาอาการปวดที่เข่าและหลังเพื่อบรรเทาอาการ แต่ก็ช่วยได้เพียงชั่วคราวเพราะฉันต้องทำงานต่อไป

เมื่ออาการปวดรุนแรงขึ้นจนทนไม่ไหวในทุกๆเช้า ฉันเลยซื้อยาแก้ปวดที่แรงขึ้น และในช่วงสุดสัปดาห์ฉันต้องขอให้สามีฉีดยาแก้ปวดให้เพื่อจะได้ลุกจากเตียงได้ อาการปวดรุนแรงขึ้นเรื่อยๆ จนกระทั่งวันหนึ่งขณะที่กำลังยกโซฟากับเพื่อนร่วมงาน เข่าของฉันก็บิดจนรู้สึกเจ็บปวดอย่างรุนแรง ฉันล้มลงกับพื้นและไม่สามารถขยับตัวได้ ต้องเรียกรถพยาบาล

อาการปวดเข่าของฉันตอนนี้รุนแรงมากค่ะ

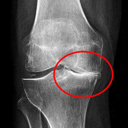
ตอนไปพบหมอครั้งแรก หมอใช้เวลานานมากในการดูภาพเอ็กซ์เรย์ แล้วบอกว่าให้ฉันเลิกทำงานหนักๆได้เลย และห้ามยกของหนักเกิน 2 กิโลกรัม

ภาพเอ็กซ์เรย์แสดงให้เห็นว่าเข่าของฉันมีปัญหาร้ายแรง

แน่นอนว่าฉันรับไม่ได้กับเรื่องนี้เลย! แล้วฉันจะทำงานยังไงต่อไป? ฉันรักงานของฉันมาก ไม่ว่ามันจะยากแค่ไหนก็ตาม ในที่สุดฉันตัดสินใจไปปรึกษาหมออีกคน แต่ครั้งนี้ยิ่งทำให้ฉันตกใจไปใหญ่! หมอไม่ได้บอกรายละเอียดของโรคฉันอย่างชัดเจน แต่กลับบอกเลยว่าถ้าไม่ผ่าตัดเข่า ฉันจะกลายเป็นคนพิการ และค่าผ่าตัดแพงมากถึง 1,000 ดอลลาร์! ฉันไม่มีเงินมากขนาดนั้นในตอนนั้น เลยตัดสินใจนัดผ่าตัดไว้หลังจากนั้นอีกหนึ่งเดือนครึ่ง เพื่อที่จะหาเงินมาจ่ายค่าผ่าตัดให้ทัน

แล้วฉันก็นึกขึ้นได้ว่าเพื่อนสนิทของฉันเคยมีปัญหาเรื่องเข่าเหมือนกันเมื่อประมาณครึ่งปีที่แล้ว เขาบ่นเรื่องเดียวกันกับฉันเลย ฉันเลยตัดสินใจโทรไปถามเขาว่าเป็นยังไงบ้าง ทางโทรศัพท์เขาไม่ได้บอกอะไรมากนัก เลยชวนกันไปเจอที่บ้านเขา

วันรุ่งขึ้น ฉันไปที่บ้านเขา ภรรยาของเขาเปิดประตูมาพร้อมกับน้ำตา

— เกิดอะไรขึ้นเหรอ?

— สามีฉันเสียชีวิตแล้ว! - เธอพูดออกมาด้วยน้ำเสียงสั่นเครือ

— ทำไมล่ะ? เขายังอายุแค่ 51 เอง เกิดอะไรขึ้น?

— ก็หลังจากผ่าตัดแล้ว โรคเดิมก็กลับมาอีก ปวดเข่ามาก

ฉันตกใจมาก เหมือนถูกฟ้าผ่า! แล้วฉันก็ถามว่าพวกเขาใช้การรักษาอะไรบ้างและกินยาอะไรบ้าง ปรากฏว่าอะไรที่พวกเขาทำไปก็ไม่ช่วยให้เพื่อนของฉันดีขึ้นเลย ผ่าตัดไปแล้วแต่ผ่านไปแค่เดือนเดียวก็กลับมาเป็นซ้ำและมีอาการแทรกซ้อนอีก

หลังจากเหตุการณ์นั้น ฉันไม่กล้าไปหาหมออีกแล้ว ไม่ต้องพูดถึงเรื่องผ่าตัดเลย เราไม่รู้หรอกว่าหมอจะสั่งยาอะไรมาให้ มันอาจจะทำให้แย่ลงไปกว่าเดิมก็ได้ แต่ถ้าปล่อยไว้เฉยๆ ก็ไม่ดีแน่ ยิ่งนานวันก็ยิ่งแย่ลง

ฉันเริ่มรู้สึกวิตกกังวลมาก

ฉันไม่อยากออกไปไหนเลย นั่งกินยาแก้ปวดอยู่แต่ในบ้าน คิดมากไปหมด ทำงานไม่ได้แล้ว จะทำงานยังไงไหว ในเมื่อทุกวินาทีก็เจ็บปวดไปหมด ฉันพยายามทำใจให้เข้มแข็ง หาข้อมูลเกี่ยวกับการรักษาแบบพื้นบ้าน หรือคาถาอาคมอะไรก็ตามที่ไม่ต้องผ่าตัดและไม่ต้องกลายเป็นคนพิการ

ฉันค้นหาข้อมูลในอินเทอร์เน็ต และก็เจอโพสต์ในฟอรัมของผู้ชายคนหนึ่งที่บอกว่าเขาหายจากโรคข้อเข่าเสื่อมได้อย่างสมบูรณ์ โดยที่ไม่ต้องผ่าตัดหรือฉีดยา แต่เขาใช้แคปซูลตัวหนึ่ง! เขาบอกว่าแคปซูลตัวนี้มีฤทธิ์แรงมาก ชื่อแคปซูล Flexabon

ฉันตัดสินใจลองดู ราคาไม่แพงมาก และส่วนผสมก็เป็นธรรมชาติ 100% ก็ลองดูสักตั้ง เพราะฉันเสียเงินไปกับการรักษามามากแล้ว

ฉันเลยติดต่อผู้ชายคนที่โพสต์ในฟอรัมไป เพื่อถามว่าเขาซื้อแคปซูลตัวนี้มาจากไหน ปรากฏว่าแคปซูลตัวนี้ผลิตได้ยากมาก เลยผลิตออกมาได้ไม่เยอะ ขายผ่านเว็บไซต์ของผู้ผลิตเอง และบางทีก็ไม่มีขายเพราะความต้องการสูงมาก

แต่ฉันก็โชคดีที่ตอนนั้นมีแคปซูลขายพอดี ฉันเลยสั่งซื้อมาเลย

ตอนแรกฉันไม่ได้หวังว่าจะหายขาดอย่างปาฏิหาริย์หรอกนะ แค่อยากเลื่อนการผ่าตัดออกไปก่อน เพราะกลัวมาก แต่พอทาน Flexabon ไปแค่ครั้งแรก ปวดเข่าหายไปเลย และตอนเช้าตื่นมาฉันก็ลุกจากเตียงได้เองโดยไม่ต้องพึ่งยามากิน ฉันเลยคิดว่านี่แหละอาจจะเป็นทางรอดของฉันก็ได้

ฉันอ่านวิธีทาน Flexabon ให้ละเอียดแล้วก็ทานตามนั้นเลย สะดวกมาก แค่กินแคปซูลวันละ 1 เม็ด ตามด้วยน้ำเปล่า ฉันกินวันละ 2 ครั้ง เช้ากับเย็น ชอบมากเลย เพราะทำจากธรรมชาติล้วนๆแล้วก็อร่อยด้วย

Flexabon กินง่ายมาก

ผลลัพธ์เป็นยังไง?

คืนแรกกิน Flexabon ก่อนนอน ตื่นเช้ามาอาการบวมหายไปเลย!

อาการปวดเสียดๆ หายไปเลย

หลังทานครั้งแรกร่างกายเริ่มดีขึ้น

พอ 3 วัน เดินได้ไกลขึ้นโดยไม่เจ็บ ไม่ต้องกังวล

ตอนนี้ไม่ต้องนั่งรถเข็นแล้ว เพราะเดินได้คล่องตัว

หลังจาก 10 วันปวดแขน ปวดหลัง ปวดเข่า หายหมดแล้ว

ตอนนี้กลับไปออกกำลังกายได้แล้ว

หลังจาก 3 อาทิตย์ ลืมไปเลยว่าเคยป่วย

ตอนนี้กลับมาใช้ชีวิตได้ตามปกติโดยไม่เจ็บเข่าเลย

ถึงแม้จะเห็นผลดีขนาดนี้ ฉันก็ยังทานต่อเนื่องจนครบหนึ่งเดือน เพื่อป้องกันไม่ให้กลับมาเป็นอีก

หลังจากนั้นฉันไปหาหมอ หมอตกใจมาก! ไม่ต้องผ่าตัดแล้ว ข้อต่อแข็งแรงดี! พูดไม่ออกเลยตอนนั้น ดีใจมาก โล่งอกสุดๆ ใครที่เคยเจอปัญหาแบบนี้จะเข้าใจดี

ตอนนี้ฉันกลับมาใช้ชีวิตได้อย่างมีความสุขกับครอบครัวอีกครั้ง

ฉันรอดพ้นจากการผ่าตัด รอดพ้นจากการกลับมาเป็นซ้ำ และรอดพ้นจากความเจ็บปวด! ตอนนี้ผ่านมา 3 ปีแล้ว ฉันรู้สึกดีมากเลย กลับไปทำงานได้ตามปกติ

สภาพเข่าของฉันตอนนี้

ถ้ารู้แบบนี้ตั้งแต่แรกคงดี!

ขอบคุณ Flexabon ที่ทำให้ฉันหายดีและกลับมาใช้ชีวิตได้อย่างเต็มที่ ปัญหาเรื่องข้อเข่าหายไปตลอดกาล!”

นี่คือรูปของแคปซูลตัวนั้นเลยนะคะ

ดังนั้น ถ้าใครมีปัญหาแบบเดียวกันก็อย่ารอให้หนักกว่านี้เลยนะคะ มันไม่ใช่เรื่องเล่นๆ เลยค่ะ หนูเป็นตัวอย่างให้เห็นแล้ว หนูดีใจมากที่รักษาข้อเข่า ข้อเท้า และหลังให้กลับมาดีได้เร็วขนาดนี้เลยค่ะ อยากให้ทุกคนหายไวๆ เหมือนกันนะคะ

ถ้าสงสัยว่าฉันใช้ตัวไหนถึงหายดี ก็คือแคปซูลบำรุงข้อ Flexabon นั่นเองค่ะ

Flexabon มีประสิทธิภาพมากกว่าผลิตภัณฑ์บำรุงข้ออื่นๆ

ผลิตภัณฑ์บำรุงข้ออื่นๆ

  • มีสารเคมี

  • ช่วยบรรเทาอาการ

  • ผลลัพธ์ชั่วคราว

  • ไม่ช่วยเรื่องผิวพรรณ

  • ไม่ช่วยเรื่องผม

  • ไม่ช่วยเรื่องน้ำหนัก

  • อาจเกิดอาการแพ้

  • ราคาแพง

Flexabon

  • 100% จากธรรมชาติ

  • รักษาข้อต่อได้หายขาด

  • ผลลัพธ์ยาวนาน

  • ช่วยให้ผิวพรรณอ่อนเยาว์

  • ทำให้ผมแข็งแรง

  • ช่วยลดน้ำหนัก

  • ไม่มีผลข้างเคียง

  • ราคาเข้าถึงได้

ไม่ใช่แค่หนูคนเดียวที่รอดเพราะผลิตภัณฑ์มหัศจรรย์ตัวนี้ สามีหนูป่วยเป็นโรคข้ออักเสบ ปลายนิ้วเสียหายมาก หนูเลยซื้อ Flexabon ให้เขาทาน พวกเราทานด้วยกันแล้วก็หายกันทั้งคู่เลยค่ะ

ภาพเอกซเรย์เปรียบเทียบก่อนและหลังทาน Flexabon ของสามี
ภาพเปรียบเทียบสภาพมือของสามีก่อนและหลังทาน Flexabon

หลังจากสัมภาษณ์คุณอัญญา ทีมงานของเราได้พูดคุยกับผู้เชี่ยวชาญด้านโรคข้อ ซึ่งมีส่วนร่วมในการพัฒนาและวิจัยแคปซูล Flexabon โดยตรง ท่านได้ให้ข้อมูลกับเราว่า:

คุณอานนท์ จิตตรี - ผู้เชี่ยวชาญด้านโรคข้อ ประสบการณ์กว่า 30 ปี

Flexabon เป็นนวัตกรรมทางการแพทย์เลยก็ว่าได้ ผลิตภัณฑ์นี้ผ่านการทดสอบทางคลินิกและได้รับการพิสูจน์แล้วด้วยงานวิจัยมากมาย สูตรพิเศษของ Flexabon ช่วยฟื้นฟูน้ำหล่อเลี้ยงในข้อ และช่วยให้ข้อทำงานได้ตามปกติ ลดอาการปวดและอึดอัดขณะเคลื่อนไหว

ทีมนักวิทยาศาสตร์ที่พัฒนา Flexabon

แคปซูลประกอบด้วยส่วนผสมจากธรรมชาติที่ช่วยบำรุงข้อต่อ โดยเฉพาะเปปไทด์คอลลาเจนและแอล-กลูตาไธโอน เมื่อเห็นผลจากการทดลองทางคลินิกแล้ว บริษัทของเราจึงตัดสินใจผลิตและจำหน่าย Flexabon ในประเทศไทย

แต่หลังจากนั้นเราก็เจอปัญหาใหญ่ บริษัทยาขนาดใหญ่พยายามขัดขวางไม่ให้ Flexabon เข้าถึงผู้บริโภค เพราะพวกเขาสนใจแต่กำไร ไม่ได้แคร์สุขภาพของผู้คน เราเลยต้องต่อสู้กับระบบนี้ เพราะ Flexabon ช่วยบำรุงร่างกายโดยรวมและเสริมสร้างภูมิคุ้มกัน ทำให้ผู้ป่วยหายจากโรคอื่นๆ ได้โดยไม่ต้องพึ่งยา ซึ่งจะส่งผลกระทบต่อธุรกิจของบริษัทยาเหล่านั้น ดังนั้น Flexabon จึงไม่มีขายตามร้านค้าหรือร้านขายยา เราตัดสินใจจำหน่าย Flexabon เองผ่านทางเว็บไซต์อย่างเป็นทางการ เพื่อให้คนไทยเข้าถึงได้โดยตรง

ขอให้ทุกท่านสุขภาพแข็งแรงนะครับ แล้วพบกันใหม่!

นอกจากนี้ ผู้เชี่ยวชาญยังพบอีกว่า คอลลาเจนซึ่งเป็นส่วนประกอบหลักของแคปซูล ช่วยฟื้นฟูผิว ลดรอยด่างดำ และทำให้ผิวเต่งตึง คอลลาเจนยังช่วยบำรุงรากผม ทำให้ผมแข็งแรงและลดปัญหาผมร่วง ที่น่าแปลกใจคือ Flexabon ยังช่วยเร่งการเผาผลาญ ทำให้น้ำหนักลดลงอีกด้วย

ผิวพรรณที่ดูอ่อนเยาว์หลังใช้ Flexabon
ผมที่หนาขึ้นหลังใช้ Flexabon
รูปร่างที่ผอมเพรียวหลังใช้ Flexabon 3 สัปดาห์

ทุกคนสามารถรับส่วนลดพิเศษสำหรับ Flexabon ได้ เพียงกรอกแบบฟอร์มสั่งซื้อด้านล่าง

โปรโมชั่นพิเศษจากผู้ผลิตสำหรับผู้อ่านของเรา!

ถึงวันที่ นี้เท่านั้น!

คลิกที่นี่เพื่อรับส่วนลดสูงสุด 50%
ปุ่มคลิก

ปุ่มคลิก

ปุ่มคลิก

โชคดี!
คุณได้รับส่วนลด 50% สำหรับ Flexabon แล้ว!

สั่งซื้อ Flexabon
ความคิดเห็น
ดารา ทองมัน

ขอบคุณมากค่ะ ข้อมูลเป็นประโยชน์มากเลยค่ะ จะสั่ง Flexabon ให้สามีทานค่ะ เขาป่วยมาเป็นปีแล้วค่ะ มีอาการเดียวกันเลย

สกุลนา ดาวทอง

ดีมากเลยค่ะ! เพิ่งเริ่มทานเองค่ะ บังเอิญไปอ่านเจอแล้วก็สั่งตามที่คุณอัญญาแนะนำมาเลยค่ะ ถึงจะเพิ่งเริ่มทานแต่ก็รู้สึกว่าเคลื่อนไหวได้คล่องตัวขึ้นแล้วค่ะ

นนท์ ธนนท์

ขอบคุณสำหรับบทความดีๆนะครับ ตอนนี้สั่งสินค้าไปแล้วครับ แล้วก็ถามพนักงานไปว่าสินค้าจะเข้ามาเมื่อไหร่ พนักงานบอกว่ายังไม่มีกำหนดครับ เพราะสินค้าขายดีมาก หมดเร็วมากเลยครับ โชคดีที่ยังทันสั่ง

อนุสรณ์ พาลำ

ปวดข้อมาหลายปีแล้วครับ เบื่อการรักษามาก ต้องกินยาแก้ปวดตลอดเวลา ทำให้ใช้ชีวิตประจำวันไม่ได้เลย ไม่ว่าจะเป็นการนอนหลับ การทำงาน หรือแม้แต่การเล่นกับหลานๆ คิดว่าจะลองสั่ง Flexabon มาทานดูบ้างครับ ถ้าคุณอัญญาหายได้ ก็คงช่วยให้หายได้เหมือนกัน

ธร สินธร

เข้าใจความรู้สึกทุกคนเลยครับ ผมเองก็ทรมานมานานหลายปีเหมือนกัน ตอนนั้นกลัวมากเลยครับ แต่พอมาทาน Flexabon ก็รู้สึกดีขึ้นเยอะเลยครับ ตอนแรกก็สั่งมาทานตามที่คุณแม่แนะนำ

กร ธนกร

ว้าว น่าลองจังเลยครับ เบื่อกับอาการปวดข้อมากเลยครับ ตอนแรกไม่เป็นไรมากหรอกครับ แต่พอไปทำงานโรงงานก็ยิ่งแย่ลงไปอีก คิดว่าคงต้องผ่าตัดแล้วล่ะครับ :(

สุทธิ พิสุทธิ์

อย่าเพิ่งรีบผ่าตัดเลยนะครับ ผมก็เคยคิดจะผ่าเหมือนกัน แต่พอมาทาน Flexabon อาการก็ดีขึ้นหมดเลยครับ

จันทร์ ดวงจันทร์

รู้สึกว่าหมอสนใจแต่จะหาเงินจากเราจังเลยค่ะ ก่อนหน้านี้ต้องฉีดยาทุกๆ 6 เดือนเลยค่ะ แล้วช่วงปลายปีที่แล้วหมอก็ให้ยามากินเยอะมากจนกลัวจะทานไม่ไหว หมอไม่ได้ตรวจร่างกายละเอียดเลยว่าเรามีโรคประจำตัวอะไรบ้าง หรือยาที่ให้ไปจะไปทำปฏิกิริยากับโรคอื่นๆ ยังไง ก็แค่สั่งยาของบริษัทที่สนับสนุนมาให้เราเลย คงเป็นแบบนี้กันทั่วไปแหละค่ะ แต่โชคดีที่มีผลิตภัณฑ์ตัวนี้มาช่วย

ญา พิชญา

ยาตัวนี้สำคัญมากเลยค่ะ พออายุมากขึ้นก็จะเจ็บปวดกันโดยไม่รู้ตัว

บอส กิตติคุณ

กระดูกสันหลังผมเสื่อมไปหมดเลยครับ กิน Flexabon มาหลายปีแล้ว ช่วงนี้แทบไม่มีอาการอะไรรบกวนเลย ถ้าไม่มีตัวนี้คงนั่งรถเข็นไปแล้วล่ะครับ Flexabon ไม่มีอะไรเทียบได้เลย หมอบางคนก็ไม่รู้จริงอะไรมากมาย แต่เรารู้ดีว่าอะไรช่วยเราได้

แพร พิณทุสร

ดีมากเลยค่ะ ขอบคุณมากนะคะที่ช่วยชีวิตไว้!

กาญจณ์ กาญจณา

เรื่องนี้มันเป็นเรื่องเจ็บปวดสำหรับทุกคนเลยนะคะ ไม่มีใครอยากพูดถึงความเจ็บปวดของตัวเองหรอก พี่ชายผมทนจนร่างกายเสียหายไปมากเลยค่ะ ควรจะรีบรักษาแต่เนิ่นๆ นะคะ

เบญ เบญญา

ขอบคุณสำหรับคำแนะนำนะคะ สั่ง Flexabon ไปแล้วค่ะ จะรีบทานแล้วหายไวๆ นะคะ :)

พิธ พิธสุ

เพิ่งรู้ตัวว่าป่วยมา 5 ปีแล้วหรืออาจจะนานกว่านั้น ตอนแรกก็ไม่รู้สึกอะไรมาก แต่พอวันนึงลุกจากเตียงไม่ได้เพราะปวดมาก ก็เลยไปหาหมอ 3 คน กินยาไปเยอะมากแต่ก็ไม่หายสักที ขอบคุณอัญญามากเลยนะครับที่แบ่งปันประสบการณ์

นาย บรรพต

ผมก็เป็นตอนอายุ 50 ปี ตอนแรกนึกว่านอนไม่พอ พอไปหาหมอกลับบอกให้ผ่าตัด ผมก็ไม่อยากผ่า

เจี๊ยบ จิตรา

หมอประจำตัวแนะนำยาตัวนี้ให้ แต่เพิ่งเริ่มทานเองค่ะ

พล พลพล

หวังว่าจะไม่มีใครต้องเจอแบบนี้นะครับ มันทรมานมากเลยเวลาปวดข้อ

ใจ หทัยรัตน์
0

มีใครสั่ง Flexabon จากเว็บไซต์บ้างไหมคะ สินค้าเป็นยังไงบ้างตรงตามที่เขาโฆษณาไหมคะ ตอนนี้ยังสั่งไม่ได้เลยค่ะ เพราะสินค้าหมด

บิว ดนัย
0

ในประเทศเราพอป่วยทีก็เหมือนรอวันตายเลยครับ ตอนนี้ผมอายุ 59 แล้ว เพื่อนๆ ส่วนใหญ่เสียชีวิตไปแล้ว ส่วนที่เหลือก็เดินไม่ได้เพราะปวดตามข้อต่างๆ มันเศร้ามากเลยครับ

ดา กานดา
0

เราส่งข้อความไปแล้วค่ะ บังเอิญไปเจอบทความนี้พอดี ตอนนี้อาการดีขึ้นมากแล้วค่ะ ใช้เวลาในการรักษาแค่ 3 วันเอง

ภัทร ธนภัทร

สินค้าส่งเร็วไหมครับ? แพ็คเกจจิ้งเรียบร้อยดีไหมครับ? สินค้าตรงตามรูปร่างหน้าตาไหมครับ?

ณิ ณิชา

ของเราส่งเร็วมากค่ะ แพ็คเกจมั่นคงดีค่ะ สินค้าก็ไม่มีตำหนิอะไรเลยค่ะ

ระ วีระ
0

ทุกอย่างเป็นเรื่องจริงเลยครับ เพราะผมก็สั่งไปเหมือนกัน ต้องทานให้ครบตามคอร์สนะ แล้วจะรู้สึกเหมือนได้เกิดใหม่เลยล่ะครับ ลองคิดดูสิว่าเราทนกับอาการเจ็บปวดมานานแค่ไหนแล้ว เวลาที่เสียไปเราเอาคืนมาไม่ได้ ผมเองก็ไม่อยากจะทนกับอาการเจ็บปวดแบบนี้อีกแล้ว

สิงห์ สิงห์ทอง

ผมได้ส่วนลด 50% เลยครับ ราคาดีมากเลย ขอบคุณมากครับ :)

วา แวววา

ว้าว อยากได้บ้างจังเลยค่ะ ทำยังไงคะ?

สิงห์ สิงห์ทอง

ให้กรอกแบบฟอร์มสั่งซื้อด้านล่างบทความก็ได้ส่วนลด 50% เลยครับ

วา แวววา

ขอบคุณค่ะ :)

วัฒน์ ธนวัฒน์

ผมเป็นหนึ่งในคนที่ลองใช้ Flexabon แล้วเห็นผลดีมากเลยครับ ป่วยเป็นโรคข้อเสียดมานาน 7 ปีแล้ว ก่อนหน้านี้คิดว่าต้องกินยาและฉีดยาไปตลอดชีวิต แต่พอทาน Flexabon ปวดหายไปเลยครับ ผมว่าทุกคนควรลองดูนะครับ

วุฒิ วรวุฒิ

สั่งให้คุณยายทานค่ะ คุณยายบอกว่าดีขึ้นเยอะเลย คุณยายอายุมากแล้ว ผมเลยเป็นห่วงมาก ขอบคุณที่ส่งสินค้ามาถึงเร็ว และตรงเวลาค่ะ

พล วัชรพล

ผมอายุแค่ 63 ปีเอง แต่ปวดเข่ามาตั้งแต่ 53 แล้ว ตอนหลังปวดมากทนไม่ไหวเลย เพื่อนหมอแนะนำให้ลองใช้ Flexabon เมื่อ 3 เดือนก่อน ตอนนี้กระโดดได้เหมือนกระต่ายเลยล่ะครับ แม้ว่าจะไม่ควรทำก็เถอะ ฮ่าๆ สุดยอดจริงๆ

สิทธิ์ อภิสิทธิ์

ผลลัพธ์ดีมากครับ แต่ต้องทานให้ถูกวิธีนะครับ อย่างแรกต้องซื้อ 2 กล่อง แล้วทานวันละ 2 ครั้ง

ยุทธ ธนัตรยุทธ

ผมสั่งไปแล้วครับ บอกว่าจะส่งถึงภายใน 5 วัน หวังว่าจะเป็นอย่างที่บอกนะครับ

วะ ศิวะ

ซื้อให้พ่อครับ พ่อเป็นช่างก่อสร้าง ปวดหลังทุกวัน พอทานไปก็รู้สึกดีขึ้นมาก บอกว่าเหมือนกลับไปเป็นวัยรุ่นเลย

เดช วีรเดช

ผลิตภัณฑ์นี้ดีจริงๆ ครับ ปีที่แล้วลูกชายซื้อมาฝากจากสิงคโปร์ ปวดหมอนรองกระดูกทับเส้นประสาทหายไปเลย ตอนนี้รู้สึกเหมือนอายุ 20 อีกครั้ง แนะนำเลยครับ

บอส ปฏิภาร

ผมก็เคยฉีดยามาตลอด แต่พอมาเจอ Flexabon ก็ไม่ต้องฉีดยาอีกเลย ผ่านไป 2 เดือนแล้ว รู้สึกเหมือนคนปกติเลย

พิม พิมพา

ยาตัวนี้ดีมากเลยค่ะ ช่วยลดอาการปวดและอักเสบได้เร็ว ทำให้ใช้ได้ในกรณีฉุกเฉิน หรือทานเป็นประจำก็ได้

กฤต ธนกฤต

ผมไปหาหมอ หมอบอกให้ลองทาน Flexabon (หมอคนนี้ยังเด็ก อาจจะยังมีความหวังว่าแพทย์จะช่วยเหลือผู้ป่วยได้) พอทานไปปวดหายไปเลยครับ แต่ก็ทานต่อจนหมดตามที่หมอบอก หลังจากนั้น 3 อาทิตย์ก็ลืมไปเลยว่าเคยปวดข้อ

กร พงศกร

เพื่อนบ้านผมอายุ 72 แล้ว เคยปวดหลังมาก แต่ตอนนี้ดูแข็งแรงและกระฉับกระเฉงขึ้นเยอะเลย เขาบอกว่าทาน Flexabon

ณา ปวีณา

ซื้อให้แม่เมื่อวานนี้ค่ะ แม่บ่นปวดข้อบ่อยเลยไม่อยากพาไปหาหมอ

มา รติมา

ผลิตภัณฑ์นี้ดีมากเลยค่ะ ทุกคนควรลองนะคะ จะไม่ผิดหวัง

นิว ชณิกา

รู้จัก Flexabon จากในฟอรัมค่ะ มีคนแนะนำเยอะเลย ตอนนี้ทานได้ 3 วันแล้ว รู้สึกดีขึ้นมากเลยค่ะ ปวดน้อยลง ข้อไม่ค่อยดังแล้ว แต่ยังบวมนิดหน่อย คงต้องทานต่อเรื่อยๆ คงเห็นผลชัดเจนขึ้นอีก

ณา วรางคณา

ขอบคุณค่ะ สั่งให้ตัวเองกับสามีแล้วค่ะ แล้วก็ถามพนักงานไปว่าจะขายตามร้านขายยาไหม พนักงานบอกว่าอาจจะไม่มีขายตามร้านขายยา เพราะฉะนั้นนี่อาจจะเป็นโอกาสเดียวที่จะได้ลองใช้

สั่งซื้อ Flexabon