Nota editorului: Nu uitați să citiți până la sfârșit! Apoi, un interviu cu celebrul medic Maria Tamaș, în care vă va spune sincer cum să vă restaurați articulațiile rapid, eficient și ieftin și să uitați de durere pentru totdeauna!
Jurnalist: Bună ziua, domnul Cadăr. Vă mulțumim că ați fost de acord să acordați un interviu în exclusivitate pentru publicarea noastră. Sunt multe zvonuri despre sănătatea dumneavoastră. Unii pretind chiar că v-au văzut într-un scaun cu rotile. Este adevărat?
Valeriu Cadăr: Bună ziua. Din păcate, da, aceasta nu este ficțiune. M-am deplasat într-un scaun cu rotile, deși nu pentru mult timp.
Dar chiar și câteva luni într-un scaun cu rotile mi-au fost suficiente pentru a simți tot "farmecul" unei astfel de vieți.
Jurnalist: Ce s-a întâmplat? Cum ați ajuns într-un scaun cu rotile?
Valeriu Cadăr: Profesia mea implică o activitate fizică excesivă. În special, această tensiune este direcționată către articulațiile picioarelor. Mulți ani de antrenament nu m-au scutit articulații și, așa cum a spus un medic, "articulațiile tale s-au transformat în praf".
A fost oribil să aud asta! A însemnat sfârșitul carierei mele și o invaliditate iminentă.
Dar nu mi-am dat seama de pericol la acel moment. Am continuat să dansez, am luat parte la diverse spectacole și am acceptat propuneri din partea teatrelor din întreaga lume pentru a pleca în turneu. Și aceasta a fost o mare greșeală.
Obișnuiam să-mi fac o injecție cu anestezic înainte de a urca pe scenă, iar după spectacol înghițeam pachete de tablete pentru a adormi și a nu simți durerea.
Genunchii mei aproape că nu se mai îndoiau. Glezna mea era în permanență umflată, astfel încât nu puteam să mă încalț. Aproape că nu mă puteam mișca, dar am continuat să lucrez. Ei bine, nu puteam să-mi părăsesc elevii și să întrerup spectacolele programate. Medicii mi-au interzis să lucrez, m-au amenințat cu scaunul cu rotile. Dar nu am ascultat pe nimeni, am neglijat problema și am plătit pentru asta cu un scaun cu rotile....
Vreau să mă adresez tuturor! Nu repetați greșelile mele! Dacă vă dor articulațiile - este o problemă serioasă! Boala progresează foarte repede și poate provoca invaliditate în doar șase luni!
Jurnalist: V-ați consultat cu medici? Ați primit vreun tratament?
Valeriu Cadăr: Da, am fost la doctor. Mi-au prescris preparate străine scumpe. De fiecare dată am sperat că această crema germană sau austriacă mă va ajuta cu siguranță, dar nu a avut niciun rezultat. Am cheltuit o mulțime de bani pe unguente, pastile, injecții, tratamente - dar totul a fost inutil.
Dacă pe mine nu m-a ajutat un tratament costisitor, ce putem spune despre oamenii obișnuiți care sunt nevoiți să se trateze cu medicamente de farmacie și să meargă la clinici locale. Chiar îmi pare rău pentru ei...
Când am ajuns într-un scaun cu rotile, recunosc sincer, m-am gândit să părăsesc această viață. Te transformi într-o plantă neajutorată, devii o povară pentru cei dragi, nu poți să mergi singur la toaletă ( scuzați pentru detaliile), să faci un duș, să gătești mâncare ....
Este atât de dezgustător să te simți nefolositor, nedorit, uitat, singur. Prietenii nu m-au mai sunat, toată lumea a uitat de mine... M-am scufundat în depresie, nu puteam mergea fără ajutor. Și nu am vrut să mă vadă cineva într-un scaun cu rotile.
Boala, durerea, singurătatea, neputința - este foarte înfricoșător! Nu i-aș dori asta nici celui mai mare dușman al meu!
Jurnalist: Cum ați reușit să vă ridicați din scaunul cu rotile? Din câte știu, v-ați întors la profesie și faceți noi spectacole?
Valeriu Cadăr: Am fost ajutat printr-o minune! Nu pot spune altceva. Soarta m-a făcut să mă întâlnesc cu Dr. Maria Tamaș.
Mi-a dat un gel, mi-a spus că se bazează pe ingrediente rare și că nu sunt ușor de obținut. Ca să fiu sincer, am încercat o mulțime de lucruri și nu am crezut că acest gel mă va ajuta. Dar după câteva zile m-am simțit mult mai bine.
Jurnalist: Doar datorită gel-ului?
Valeriu Cadăr: Da, și eu am fost uimit. Articulațiile au încetat să se mai "răsucească", durerea a dispărut și am reușit să dorm pentru prima dată după multe luni. Și în fiecare zi mă simțeam din ce în ce mai bine. După două săptămâni, am reușit să mă dau jos din pat și să merg singur spre toaletă, ținându-mă de perete. Aceasta a fost prima victorie! Iar acest produs mi-a fost dat de Maria Tamaș, nu voi înceta să-i mulțumesc!
O lună mai târziu, puteam deja să mă deplasez prin apartament. Picioarele nu s-au umflat, umflăturile au dispărut. Durerea a dispărut aproape complet, mobilitatea a revenit, puteam să-mi îndoi genunchii.
După 1,5-2 luni, m-am întors la muncă. Colegii mei nu se așteptau să mă vadă. Au fost șocați - cu doar câteva luni în urmă eram un invalid neajutorat într-un scaun cu rotile, iar acum sunt pe picioarele mele și le arăt elevilor noi pași.
Jurnalist: Mă bucur foarte mult că totul a ieșit bine! Care sunt planurile dumneavoastră de viitor? Ce ne va aștepta în viitorul apropiat?
Valeriu Cadăr: Am foarte multe planuri! În curând va avea loc o nouă piesă la Teatrul Național din Cluj Napoca în care sunt direct implicat. Piesa se intitulează "Prudență zadarnică". Sunteți cu toții bineveniți! Și încă două premiere de profil înalt îi așteaptă pe dragii mei telespectatori în primăvară, dar este încă un secret.
Jurnalist: Vă mulțumim foarte mult, domnul Cadăr, pentru acest interviu sincer! Să fiți sănătoși și să ne bucurați cu creativitatea voastră cât mai mult timp!
Valeriu Cadăr: Vă mulțumesc! Vă doresc tuturor multă sănătate - este cel mai important lucru în viață!
Ne-am întâlnit cu medicul curant al lui Valeriu Cadăr Maria Tamaș, și am vorbit despre bolile articulare. Maria Tamaș a spus:
Cum să vă salvați de scaunul cu rotile și să scăpați rapid de artroză, artrită, osteocondroză și alte boli articulare
Jurnalist: Bine ați venit, doamna Tamaș! Potrivit datelor OMS, una din trei persoane din țara noastră suferă de boli articulare. Ce a cauzat această "epidemie"?
Maria Tamaș: Bună ziua. Din păcate, aveți dreptate. Numărul de bolnavi cu boli ale articulațiilor este în creștere rapidă. În timp ce înainte pacienții mei erau în principal persoane în vârstă, astăzi la mine vin din ce în ce mai des tineri de 30 și 40 de ani.
Și cel mai rău lucru este că, în țara noastră, oamenii nu sunt pregătiți să acorde suficientă atenție sănătății lor. Pacienții rezistă până la capăt și vin la mine atunci când sunt epuizați de durere și au pierdut șansa de a trăi o viață normală. La urma urmei, este mult mai ușor să mergeți la farmacie, să cumpărați un unguent anestezic, să lubrifiați articulația bolnavă - și să vă întoarceți în grădină!
Nu uitați! Produsele farmaceutice nu fac decât să mascheze simptomele. Acestea nu rezolvă problema și nu ameliorează osteoartrita sau artrita. Nu faceți decât să vă pierdeți timpul și să vă aduceți posibilitatea de a avea handicapul mai aproape!
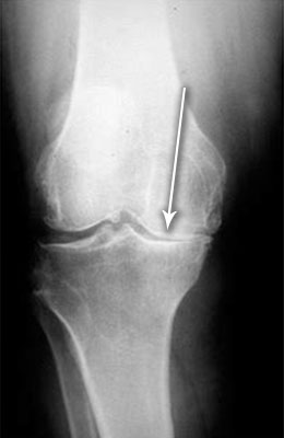
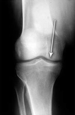
Uitați-vă la aceste imagini, puteți vedea că în imaginea din dreapta nu există spațiu articular, oasele se freacă unele de altele, provocând dureri puternice. Iar acest proces este foarte greu de oprit! În câțiva ani, persoana va deveni invalidă și nu va mai fi capabilă să aibă grijă de sine.
Jurnalistul: Care sunt cauzele bolilor articulare?
Maria Tamaș: În primul rând sunt leziunile și tensiunile grave. De asemenea, excesul de greutate pune multă presiune asupra articulațiilor. Stilul de viață sedentar, stresul, excesul de sare și zahăr în alimentație, toate acestea înmoaie țesutul cartilaginos, îl uzează și îl distruge. Cu fiecare nouă mișcare, cartilajul este distrus și deformat, iar oasele încep să se frece unele de altele, provocând dureri insuportabile.
Din păcate, mulți pacienți nu observă primele simptome ale bolii, lăsând totul cum este și ajung la medic când este prea târziu. Găsesc adesea metode de automedicație, uneori și foarte absurde, cum ar fi înfășurarea articulațiilor cu frunze de varză, lubrifierea cu miere și așa mai departe.
Nu glumiți cu artroza și artrita! Boala articulară vă va pune într-un scaun cu rotile în mai puțin de 3 ani!
Jurnalist: Când ar trebui să ne îngrijorăm? Ce simptome ar trebui să ne avertizeze?
Maria Tamaș: Simptome cum ar fi:
- Durere la îndoirea articulațiilor.
- Amorțeală la nivelul degetelor de la mâini și picioare.
- Crepitus la mișcare.
- Umflarea și înroșirea articulației.
- O senzație de nisip în articulații.
- Creșterea nejustificată a temperaturii.
Jurnalist: Cum să ajutați oamenii? Știm că l-ați ajutat pe Valeriu Cadăr să se ridice din scaunul cu rotile. Spuneți-ne despre asta, vă rog.
Maria Tamaș: Știința nu stă pe loc. În prezent, există metode inovatoare care pot face multe. Sau unele care chiar pot să vă ridice dintr-un scaun cu rotile. Dar, din păcate, astfel de remedii nu vor fi prescrise într-o clinică și nu le veți cumpăra într-o farmacie.
Oare este profitabil pentru ei să scăpați de problemele articulare o dată pentru totdeauna? Nu, ei vând produse cu care pacienții sunt obișnuiți și pe care le folosesc din nou și din nou.
Din păcate, farmaciile sunt o afacere. Un magazin care vinde prostii care nu ajută la vindecarea articulațiilor, ci la pomparea de bani de la oamenii bolnavi.
Jurnalist: La ce măsuri eficiente vă referiți? Ce l-a ajutat pe Valeriu Cadăr?
Maria Tamaș: Nu numai pe Valeriu Cadăr, ci și pe mii de oameni obișnuiți. Vorbesc despre Steplex. Dezvoltarea Institutului nostru de Cercetare în domeniul Reumatologiei. O dezvăluire cu adevărat unică și aș spune revoluționară a oamenilor noștri de știință. Acesta este un gel complet natural care este capabil să refacă articulația la nivel celular. Cu un curs de folosire, bineînțeles.
gel-ul Steplex conține un complex mare de extracte de plante și ingrediente bioactive cu o structură moleculară foarte activă.
Nu le voi enumera pe toate, ci voi vorbi despre principalele ingrediente:
- Ulei esențial de eucalipt, frunze de eucalipt ameliorează durerea, stimulează regenerarea țesutului natural;
- Ulei esențial de scorțișoară tonifiază, umple cu energie și revigorează;
- Ulei esenţial de rozmarin îmbunătăţeşte fluxul sanguin și nutriția țesuturilor deteriorate;
- Extract de ghimbir elimină umflăturile și durerea, ameliorează inflamația.
Pe lângă ameliorarea rapidă și eficientă a inflamației, restabilirea tuturor proceselor metabolice și inițierea regenerării cartilajelor și articulațiilor, acest gel oferă, de asemenea, un efect de vindecare cuprinzător pentru întregul organism. Vedeți cu ochii voștri:
- Regenerarea articulațiilor și a coloanei vertebrale
98,3% dintre pacienți au scăpat de dureri articulare și de spate. Acesta este un rezultat de aproape 100%! Nu am mai văzut așa ceva până acum, nicio metoda nu a demonstrat vreodată o asemenea eficiență.
Datorită compoziției sale naturale și a lipsei de substanțe chimice și OMG-uri, Steplex combate cauza bolii. Cu ajutorul acestuia puteți scăpa de umflături, inflamații și dureri articulare și puteți restabili complet funcția articulară la domiciliu în doar 1,5-2 luni.
- Reducerea riscului de accident vascular cerebral și atac de cord
Artrita, osteoartrita, sciatica, guta și alte boli articulare sunt însoțite de o răspândire rapidă a proceselor inflamatorii în organism pe scară largă. Există un salt brusc al tuturor indicatorilor principali, cum ar fi ESR, nivelul globulelor roșii și al trombocitelor, iar acest lucru reprezintă o amenințare directă la adresa inimii.
Datorită faptului că Steplex oprește în mod fiabil inflamația, riscul de atac de cord și de accident vascular cerebral în faza acută a bolilor reumatoide este redus de șapte ori.
- Creșterea rezistenței
Un sistem imunitar care este funcțional în proporție de cel puțin 50% reprezintă deja o barieră insurmontabilă în fața virusurilor. Și acest lucru este, de asemenea, foarte important astăzi.
De asemenea, gel-ul Steplex:
- Dizolvă plăcile de colesterol din vasele de sânge.
- Crește permeabilitatea capilară.
- Ameliorează vasospasmul cauzat de stres.
- Și în cele din urmă - normalizează tensiunea arterială.
În concluzie, pot spune că Steplex:
- Este un remediu natural care vă permite să scăpați de durerile articulare și de spate în doar 1,5-2 luni, la domiciliu, fără vizite la medic sau intervenții chirurgicale.
- Produsul este certificat în România, este complet natural și nu are efecte secundare.
- Acesta are un spectru larg de acțiune și are un efect cuprinzător asupra articulațiilor afectate.
- Este indicat pentru: artrită și artroză în toate stadiile, inflamații și infecții, modificări legate de vârstă, traume, stres crescut și defecte congenitale.
- Astăzi, Steplex este cel mai eficient și mai SIGUR mod de a restabili sănătatea articulațiilor (dovedit clinic).
Jurnalist: Impresionant într-adevăr! Este posibil ca un remediu atât de eficient să nu ajungă în farmacii și oamenii obișnuiți să nu-l poată folosi?
Maria Tamaș: Așa cum am spus, nu este profitabil pentru farmacii să vândă produse care refac articulațiile pentru totdeauna și care nu pot aduce profit de 500-600%. Steplex este exact un astfel de produs.
A fost dezvoltat de structurile științifice de stat, astfel încât farmaciile private nu sunt interesate de acest remediu, la fel cum nu sunt interesate de sănătatea oamenilor obișnuiți.
De ce se întâmplă acest lucru? În timp ce oamenii cheltuiesc o mulțime de bani în farmacii pe prostii inutile și sunt torturați de dureri și chinuri infernale, "proprietarii" lanțurilor de farmacii și medicii corupți sunt cei care refuză să permită un remediu care ar putea fi soluția la toate.
Cu siguranță ne luptăm cu situația, dar pentru moment trebuie să căutăm oportunități de a distribui Steplex celor care au cu adevărat nevoie de el și să încercăm să dezvoltăm astfel de măsuri de sprijin.
Jurnalist: La ce măsuri de sprijin vă referiți?
Maria Tamaș: Mă refer la promoția, care a fost inițiată de producătorul de Steplex împreună cu Institutul de Cercetare în domeniul Reumatologiei. În cadrul acestei orice cetățean care îndeplinește condițiile de distribuție preferențială poate primi Steplex cu o reducere de până la 75%.
Produsul poate fi obținut prin intermediul unei tombole oficiale, deoarece nu este suficient pentru toată lumea, ceea ce nu este surprinzător - oamenii transmit informații despre acest produs și entuziasmul crește în fiecare zi.
Jurnalist: Vă mulțumim, doamna Tamaș, vom publica cu siguranță toate informațiile necesare pentru cititorii noștri.
Condițiile de a obține Steplex la promoție:
-
Să fiți înregistrați în România
Promoția este disponibilă cetățenilor cu înregistrare permanentă în România. -
Numai pentru utilizarea personală
Acest lucru este necesar pentru a combate revânzătorii care încearcă să obțină în masă Steplex și să îl revândă la marja lor proprie. - Participați
la tombola de la producător
Numărul de pachete promoționale este limitat, așa că producătorul le vinde prin tombolă. Selectați una dintre ușile de mai jos pentru a primi o reducere.











