This ordeal has starkly illuminated the reality that anyone can become infected with dangerous parasites without even realizing it. Such a perilous situation can arise unexpectedly, affecting anyone. Please, prioritize your health and that of your loved ones. Be vigilant and proactive in safeguarding your well-being against such hidden threats.

Hello, everyone.
Have you ever known the heart-wrenching agony of watching a loved one suffer from an enigmatic illness, powerless to assist? Tragically, my family and I have endured this ordeal. I implore you to heed my story and avoid our missteps! You still have an opportunity to shield your family!

Juan and I have shared our lives for 24 years, harmoniously without a single dispute. Our friends still jest, calling us "newlyweds." We dreamed of a future filled with plans, naively believing misfortune would bypass us.

Trouble began with Juan complaining of persistent foul breath. I noticed, too, a ghastly stench akin to rotten eggs emanating from his mouth. Peculiar, considering his meticulous dental hygiene, brushing two to three times daily. He also lamented constant fatigue, even after a full night's sleep, finding everyday tasks increasingly exhausting.

Additionally, he battled persistent headaches and digestive upsets. Having served as a nurse, I urged him to seek medical advice. Yet, the doctor's examination yielded no clear diagnosis, leaving us bewildered.

Soon after, more alarming symptoms emerged...

Juan suffered from flatulence, a diminished appetite, and a noticeable weight loss. Dark circles formed under his eyes, betraying his exhaustion.
He spoke of persistent aches around his heart, liver, and stomach. Despite thorough blood tests and comprehensive body examinations, no conclusive findings surfaced.

As time went by, Juan's condition didn't improve. There were moments when the pain seemed to vanish, only to return with a vengeance.

I'm embarrassed to admit, but another distressing symptom emerged: our intimate life nearly ceased. Juan confessed he was struggling with erectile dysfunction, which was devastating to hear. He had always been a vibrant and strong person, but now he seemed to have lost all zest for life and interest in me. Depression engulfed him, and nothing brought him joy.

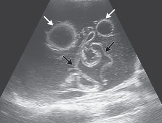
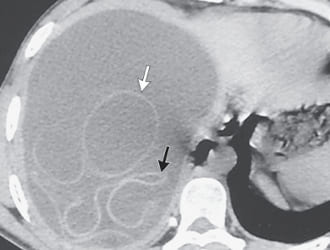
After months of costly medical tests, the diagnosis was finally revealed: a parasitic infection. Astonishingly, about 67% of Juan's body was infested with parasites. They were everywhere! I was stunned and puzzled about their origin. Our home is always immaculate, cleaned two to three times a week. I'm meticulous about buying quality products and thoroughly cleaning them. It was hard to believe that all these symptoms were due to a parasitic infection!

Desperate for answers, I sent Juan's test results to the Laboratory of Parasitic Diseases in the USA. Their response was alarming:

"All your husband's symptoms are indicative of a parasitic infection. Initially subtle, the body begins to gradually deteriorate. It starts with bad breath, flatulence, depression, headaches, dark circles under the eyes, poor appetite, joint and muscle pain. In men, parasites can cause prostatitis, impotence, and heart and liver dysfunction. In women, they can lead to vaginitis, ovarian swelling, urocystitis, ovarian fibroids, polycystic ovary tumors, kidney swelling, urinary tract infections, and accelerated skin aging. In children, parasites often result in acne and constantly watery eyes. Ignoring these mild symptoms can lead to organ decay and eventually death."

The statistic that 850,000 people in the Philippines die annually without knowing that parasites are the cause of their death is both alarming and a critical public health concern. Parasites are indeed "invisible killers," lurking in everyday items like fish, meat, water, and even fruits and vegetables purchased from supermarkets or markets.

This highlights the importance of food safety, proper hygiene, and awareness about parasitic infections. It underscores the need for better public education on the risks of parasitic infections, how they can be contracted, and the symptoms to watch out for. Additionally, it stresses the importance of access to healthcare and diagnostic facilities that can detect and treat such infections effectively.

In regions where such infections are prevalent, routine screening and preventive measures could significantly reduce the incidence and impact of parasitic infections. Awareness campaigns, improved sanitation, and access to clean water are also critical components of controlling and preventing the spread of parasites.

Driven by desperation, I embarked on a relentless quest for a solution. Watching the person I love suffer so acutely was unbearable. Sleep eluded me as I poured over countless books and sought advice from colleagues. We tried numerous medications, but none brought relief, and the doctors seemed at a loss. As Juan's condition worsened, I felt a crushing sense of helplessness and guilt for not being able to save him.

In our search for a cure, we even resorted to traditional remedies like papaya seeds and lime potions.

Compounding our health crisis was a financial one: our savings were dwindling. Juan's illness prevented him from working, and I had to care for him full-time. The expensive treatments proposed by the hospital were beyond our means. They quoted us 610,000 Philippine pesos for treatment, a sum we simply couldn't afford. As each day passed, our hopes for recovery dimmed.

Just when I thought all was lost, a glimmer of hope appeared online: Parasitox .

I discovered research on this product, claiming that over 250,000 people had tried it with remarkable results. Reportedly, it eliminated around 300 different types of parasites within just two days.

This discovery led me to ponder a question for others: "How did you remove parasites?"

Medicines

23%

Parasitox

67%

I'm still looking for a method

10%

Initially skeptical, I was driven to action by Juan's unimproving condition. We received the Parasitox within a day of ordering.

Upon giving Juan the first capsule in the morning., I was astounded to witness a rapid transformation. By the afternoon, he had regained his appetite and the foul odor from his breath had vanished. The efficacy and speed of Parasitox were beyond my expectations.

Within a day, Juan's liver and intestines were functioning at 65%, and his kidneys and heartbeat normalized. Remarkably, after three days, he experienced an erection when alone, indicating the tea's natural ingredients were aiding tissue regeneration and accelerating his recovery.

Five days into the treatment, hospital tests revealed no trace of parasites in Juan's body. Parasitox had effectively eradicated all parasitic eggs and harmful substances in just a few hours. Its cumulative effect not only strengthened Juan's immune system but also protected his cells from future parasitic infections, significantly reducing the risk of reinfestation.

A week later, Juan had fully recovered.

I later realized why Parasitox wasn't available in pharmacies. Being a new and highly effective product (as we had personally experienced), the manufacturer was concerned about price inflation and the emergence of counterfeit products. Consequently, the product was made available exclusively on the manufacturer's website.

I sincerely hope that my story serves as a cautionary tale. Had I recognized and acted upon the early troubling signs — flatulence, bad breath, poor erection, or fever —Juan's prolonged suffering could have been avoided.

Now, as a preventive measure, my entire family, including the children, regularly uses Parasitox. It's completely safe and provides peace of mind.

I urge everyone to be vigilant about their health and the health of their loved ones. If you notice any of the following symptoms, consider ordering Parasitox without delay:

  • Bad breath
  • Poor erection
  • Headache
  • Abdominal pain
  • Irritability
  • Fatigue
  • Drowsiness
  • Papillomas
  • Dry eyes
  • Fever

Remember, the earlier you begin treatment, the quicker you can regain your health.

In an effort to help others, I reached out to the manufacturer to inquire if we could post the official order form directly on our website. They generously agreed and also offered an exclusive discount for our website visitors when placing their orders. This initiative is our way of contributing to the well-being of others who might be facing similar health challenges.

Attention!

Visitors to our website have the exclusive opportunity to order.

“Parasitox” at 50% off!

To do this, start the wheel of fortune by clicking the "SPIN" button and then wait for it to come to a complete stop. Who knows, perhaps you're the lucky one who can save a lot of money today! Good luck

SPIN

Offer valid until (inclusive): Thursday 12, December 2024

Ligaya
Hi, your story touched me so much that I cried while reading it. I'm so glad you found a solution and saved your loved one! Thank you for sharing about this product. I have ordered Parasitox through your link because I have one symptom, while my husband has several. I never would have noticed these things without reading your story.
6 likes Reply 30m
Reynaldo

Before ordering, I carefully checked the ingredients, which are all natural, making it suitable for those sensitive to drugs. As someone with allergies, this is very important to me! I can't take other medications because of their ingredients. As a result, my vaginitis disappeared like never before. I was a little scared by the number of parasites that came out of me. Now, I am perfectly healthy.

9 likes Reply 1h
Armando
Your story made me panic because I am almost in the same situation. I'm drinking Parasitox right now. You can order it here.
15 likes Reply 3h
Josefina
Indeed, if you have even one symptom mentioned in the article, it's definitely a parasitic infection! I also started with bad breath and vaginitis, then my liver began to bother me. Sometimes I feel pain along my sides, but I thought it was due to overwork. Drinking Parasitox helped me feel better because it destroys the parasites. It's been two months, and I still feel very good! Everyone should try it!
27 likes Reply 7h
Maricel
Oh my God, so scary! My dad has bad breath!!! I just ordered 3 boxes of Parasitox! After only 2 days, his breath became fresh! Thank you!!!
39 likes Reply 14h
Jericho

I read a lot about it. Initially, I was skeptical, but then I decided to try it - the parasites really started disappearing slowly, and I was completely surprised by how many were in my body.

42 likes Reply 1d
Carmela
My whole family drinks Parasitox - I no longer have bad breath. My husband's liver pain is gone, the children sleep better, and there's no runny nose or itchy rash. You'd never guess where and how you can get these infections.
47 likes Reply 1d
Eduardo
I've ordered it, too. In my case, it started with poor erection. I never would have thought it was due to parasites, but after drinking Parasitox, everything normalized, and my breath became fresher. Now, as a precaution, I drink it every 3 months.
45 likes Reply 1d
Maria

I ordered it here. Three days later, everything arrived without any problems. I immediately started taking it and felt extremely healthy.

54 likes Reply 2d
Isabella
The article is very interesting! You are providing very valuable information to everyone! Thank you very much!
56 likes Reply 2d
Sofia
Have you read the article? This product is only sold online because pharmaceutical companies are thieves who just want to make money! This is not a scam; you actually pay after receiving the goods! I received my package, checked everything, and only then made the payment.
59 likes Reply 3d
Alejandro
I agree with the suggestions. When I started taking this product, everything began to fall out of my body... I panicked! In a hurry, I consulted a parasitologist, who, after examining everything, told me that they were liver flukes. Without Parasitox, I might have died within the next 2-3 years.
61 likes Reply 3d
Ana

You won't believe it, but I had a similar problem: constant lack of energy and vitality. I was about to give up... but, thank heavens, I discovered Parasitox. It truly is a miraculous remedy.

63 likes Reply 3d
Tony
Thank you for the information. I definitely need to cleanse all the impurities from my body, at least once in my life. I have never done it before, but now I realize I don't need all those things in my body. I'm certain I have some, and I know it.
65 likes Reply 4d
Order Parasitox from the manufacturer