Populer

JIKA ANDA PERNAH DIBERITAHU BAHWA PENYAKIT PERSENDIAN TIDAK BISA DISEMBUHKAN SETELAH USIA 50 TAHUN, KETAHUILAH BAHWA ITU TIDAK BENAR!

INDONESIA
TV

Dalam siaran langsung di saluran “INDONESIA TV” (acara yang membahas topik “bagaimana menjaga kesehatan sendi”), seorang dokter ternama Bima Satria dari Jakarta – menyatakan bahwa dengan penemuan unik miliknya, ia mampu mengobati radang sendi kronis bertahun-tahun hanya dalam beberapa hari saja.

Bima Satria
Profesor reumatologi, praktik medis lebih dari 40 tahun

Mantan dokter spesialis yang kini telah pensiun. Ia dikenal sebagai penemu metode pengobatan alternatif tanpa operasi untuk berbagai penyakit sendi kronis.

Menurutnya, prinsip utama dari metode ini bukan sekadar mengandalkan obat-obatan, melainkan memahami tubuh sendiri dan memaksimalkan proses penyembuhan alami melalui bahan-bahan dari alam.

Ingat satu hal penting ini dan jangan mudah percaya pada omongan orang: penyakit sendi bisa disembuhkan di usia berapa pun!

— Dok, tolong jelaskan, APA SAJA GEJALA AWAL MASALAH SENDI?

  • Nyeri saat bergerak

  • Sendi terasa berbunyi atau berderak

  • Kaku, terutama di pagi hari

  • Pembengkakan dan kemerahan di sekitar area sendi

— Seberapa berbahayakah penyakit sendi?

— Di tahap awal, penyakit sendi sering kali hanya terasa sebagai ketidaknyamanan ringan. Tapi jika dibiarkan tanpa pengobatan, kondisi ini bisa berujung pada kerusakan tulang rawan sendi, hilangnya mobilitas, dan nyeri kronis. Yang paling penting adalah jangan menunda pengobatan! Penyakit sendi yang dibiarkan terlalu lama bisa menyebabkan disabilitas.

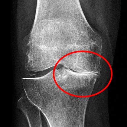
Beginilah kondisi kerusakan sendi lutut saat dilihat melalui rontgen

Masalahnya, banyak orang mengabaikan gejala awal. Mereka menganggap nyeri itu hanya karena kelelahan atau faktor usia. Tapi saat gejalanya sudah tidak tertahankan, penyakitnya biasanya sudah berkembang jauh, dan proses pengobatannya jadi lebih sulit serta membutuhkan waktu lebih lama.

— Siapa saja yang paling sering datang kepada Anda untuk meminta bantuan?

— Mayoritas pasien saya adalah orang-orang berusia di atas 40 tahun yang mulai merasakan perubahan pada persendian akibat proses penuaan.

Mereka mengeluhkan nyeri terus-menerus, kesulitan bergerak, bahkan aktivitas sehari-hari yang sederhana pun terasa berat. Banyak dari mereka berkata, “Kenapa ini terjadi pada saya? Apa kesalahan saya?” Dan saya selalu menjawab, “Lebih baik kita fokus mencari solusi daripada menyalahkan diri sendiri.”

— Apakah penyakit sendi tidak bisa dihindari setelah usia 30 atau 40 tahun?

— Secara umum, ya. Seiring bertambahnya usia, sendi akan mengalami tekanan dan perubahan. Hampir semua orang akan menghadapi masalah ini. Tapi bukan berarti tidak ada jalan keluar. Dengan metode pengobatan modern, penyakit sendi bisa ditangani dengan baik di tahap mana pun.

Jika kita tahu pendekatan yang tepat, merawat sendi di rumah bisa sangat efektif. Ribuan pasien saya telah berhasil memulihkan kesehatan sendi mereka dengan metode ini.

Yudi, 64 tahun, Bandung: "Dulu saya bahkan tidak bisa naik tangga karena nyeri hebat di lutut. Sekarang, saya bisa jalan-jalan santai bareng cucu di taman setiap hari!"

James, 50 tahun, Pattaya: "Saya hidup dengan nyeri terus-menerus di bahu. Bahkan mengikat tali sepatu pun rasanya menyiksa. Tapi sekarang saya bisa lari pagi lagi rasanya seperti mimpi!"

Rini, 57 tahun, Medan: "Sendi yang kaku bikin saya sulit tidur dan kehilangan semangat hidup. Tapi sekarang saya merasa 20 tahun lebih muda dan mulai menari lagi!"

— Apa sebenarnya rahasianya?

— Dalam ensiklopedia medis disebutkan ada sekitar 20 jenis masalah sendi yang berbeda, tapi akar permasalahannya sering kali sama: penumpukan racun dalam tubuh dan kerusakan tulang rawan sendi. Proses ini memicu nyeri, peradangan, dan membuat gerakan menjadi terbatas.

Inilah kuncinya: kami memulihkan kesehatan sendi dengan cara membersihkan racun dari tubuh dan mengaktifkan mekanisme alami regenerasi jaringan sendi.

INDONESIA
TV

Bima Satria membagikan rahasia bagaimana membantu penderita masalah sendi di acara siaran langsung

— Bukankah sudah jadi anggapan umum bahwa memperbaiki sendi setelah usia 45 tahun itu hampir mustahil?

— Saya justru membuktikan bahwa itu sangat mungkin! Sejak awal karier saya sebagai dokter, saya fokus mendalami persoalan ini. Saya meneliti berbagai tanaman dan herbal yang punya efek detoksifikasi kuat dan mampu merangsang regenerasi jaringan. Saya sendiri yang memilih bahan-bahan langka tersebut, meracik obat dari ekstraknya, dan membantu pasien saya memulihkan kesehatan sendi mereka. Lewat pengalaman puluhan tahun, akhirnya saya menemukan kombinasi paling efektif untuk membersihkan tubuh dan mengaktifkan proses perbaikan sendi.

Saya berhasil mengembangkan suplemen khusus yang mampu memulihkan sendi di segala tahap penyakit, dan di usia berapa pun. Ratusan pasien saya telah merasakan manfaatnya dan memberikan testimoni positif. Yang terpenting, suplemen ini dibuat dari bahan alami, tanpa efek samping dan tanpa kontraindikasi.

— Lalu, bagaimana cara terbaik untuk memulai proses regenerasi sendi?

— Dulu saat masih praktik, saya meracik sendiri suplemen ini berdasarkan formula unik yang sudah saya uji selama bertahun-tahun. Saya menangani langsung setiap pasien dan memberikan perawatan yang disesuaikan. Saya tidak pernah percaya pada perusahaan besar, jadi saya menolak tawaran mereka untuk membeli formula saya. Saya percaya kebanyakan dari mereka hanya mementingkan keuntungan, bukan kesembuhan pasien. Karena itu, saya memilih untuk menjaga rahasia ini.

— Sekarang Anda tampaknya mulai membuka formula itu. Apa yang membuat Anda berubah pikiran?

— Setelah pensiun, saya pikir para dokter dan ilmuwan muda akan melanjutkan pekerjaan saya, dan masalah sendi akan segera teratasi. Saya yakin kalau saya bisa menemukan solusi efektif, pasti ada orang lain yang bisa juga. Tapi nyatanya, makin banyak orang datang kepada saya, mengeluh bahwa pengobatan modern dan obat-obatan dari apotek tidak memberikan hasil.

Saya sangat terkesan dengan pengalaman salah satu mantan pasien saya. Ia datang bersama putranya yang berusia 40 tahun dan meminta bantuan karena sang anak mengalami masalah sendi yang cukup parah. Sementara itu, sang ayah yang pernah saya tangani bertahun-tahun lalu masih dalam kondisi sehat dan bugar. Saya pun memutuskan untuk menelusuri berbagai produk perawatan sendi yang tersedia di pasaran dan cukup terkejut: kebanyakan dari mereka masih menggunakan bahan-bahan lama yang kurang efektif, sama seperti puluhan tahun lalu.

Dari situ, saya tergerak untuk membantu putra pasien saya dan juga para pria lain yang mengalami keluhan serupa. Saya sadar, sudah waktunya memberikan formula yang saya kembangkan kepada pihak yang tepat, agar bisa diteruskan dengan cara yang lebih luas. Salah satu murid saya kini telah menjadi ilmuwan sukses dengan reputasi internasional dan memimpin perusahaan farmasi ternama. Saya sudah mengenalnya sejak lama dan yakin ia akan bertindak demi kepentingan masyarakat. Saya pun memberikan formula ini kepadanya, dan kami mulai mengembangkan produk khusus untuk kesehatan sendi.

Apakah produk yang Anda kembangkan sudah digunakan secara luas?

- Ya, metode yang saya rancang sudah berhasil diterapkan dan mendapatkan persetujuan resmi setelah melalui berbagai uji klinis. Sejumlah pengguna di Indonesia telah mencoba produk ini dan hasilnya sangat memuaskan: lebih dari 5.000 orang berhasil memulihkan kesehatan sendi mereka secara total — setara dengan lebih dari 94% dari pengguna batch pertama. Sekitar 5,6% merasakan perbaikan yang signifikan, dan hanya 0,4% yang tidak mengalami perubahan berarti.

Kami pun penasaran ingin tahu langsung pendapat pengguna, dan secara acak menghubungi tiga orang yang pernah membeli produk ini.

Pandu Winoto

Beberapa bulan lalu lutut saya mulai terasa nyeri, terutama saat bangun tidur di pagi hari. Dokter menyarankan pengobatan yang biayanya cukup tinggi dan di luar kemampuan saya. Saat itulah rekan kerja saya menyarankan untuk mencoba bubuk ini. Saya pun memberanikan diri mencoba, dan dalam hitungan hari rasa sakitnya mulai berkurang. Setelah dua minggu, rasa tidak nyaman itu hilang sama sekali. Saya sangat bersyukur menemukan solusi ini.

Arif Mafudin

Selama bertahun-tahun saya menderita sakit punggung akibat gaya hidup yang terlalu banyak duduk. Sudah mencoba berbagai macam salep dan obat, tapi tak ada yang benar-benar membantu. Secara tak sengaja saya mendengar tentang metode ini dan memutuskan untuk mencobanya. Bubuk ini benar-benar jadi penyelamat — rasa sakit hilang, dan saya kembali merasa seperti diri saya yang dulu.

Rachel Amanda

Ini benar-benar seperti keajaiban! Dalam hitungan hari, nyeri sendi saya hilang total. Sulit dipercaya bahwa masalah ini bisa terselesaikan secepat itu dan tanpa prosedur rumit. Saya sangat puas dan bersyukur.

— Saya merasa bangga karena pendekatan yang saya kembangkan mampu membantu begitu banyak orang. Kalau saya harus menangani setiap pasien satu per satu, mungkin butuh waktu bertahun-tahun. Namun berkat metode ini, orang-orang bisa merawat kesehatan mereka sendiri di rumah, tanpa perlu sering ke dokter. Saya yakin, masa depan dunia kesehatan ada pada solusi seperti ini — yang praktis, terjangkau, dan efektif.

— — Bisa Anda sebutkan kepada pembaca kami, apa nama produknya?

— Produk yang saya kembangkan berdasarkan pengalaman medis selama puluhan tahun ini bernama Invanil. Formula ini membantu meredakan nyeri dan rasa tidak nyaman pada sendi hanya dalam 4 hari, dan dalam waktu satu bulan, bisa memulihkan kesehatan sendi secara menyeluruh — bahkan untuk kasus yang paling berat sekalipun.

Seperti ini penampilan bubuk Invanil

— Bagaimana cara kerja Invanil?

— Tidak ada yang ajaib dalam produk ini, semuanya murni berdasarkan ilmu pengetahuan dan riset selama bertahun-tahun. Invanil mengandung 12 bahan aktif yang dipadukan secara unik untuk merangsang proses regenerasi jaringan sendi secara alami.

Cara konsumsinya pun sangat mudah: cukup larutkan satu sachet bubuk ke dalam segelas air dingin, aduk hingga larut sempurna, lalu minum. Waktu terbaik untuk mengonsumsinya adalah sebelum tidur. Saat tubuh beristirahat di malam hari, produk ini bekerja perlahan dengan mengurangi peradangan dan membantu memperbaiki sel-sel sendi dari dalam.

INDONESIA
TV

Bima Satria menceritakan cara terbaik menggunakan Invanil

— Sangat menarik. Tapi bisa dijelaskan lebih lanjut, apa artinya ini bagi orang-orang yang memiliki masalah sendi?

— Artinya, kini Anda bisa mengatasi masalah sendi dari rumah tanpa harus sering ke dokter, tanpa prosedur mahal, dan tanpa biaya tambahan. Invanil bekerja langsung pada akar masalah yaitu penumpukan racun dan terganggunya proses metabolisme di jaringan sendi.

Sejak hari pertama penggunaan, peradangan dan nyeri mulai berkurang. Setelah 2 hingga 3 minggu, proses regenerasi selesai dan sendi kembali pulih sepenuhnya. Untuk menjaga hasilnya agar tetap optimal dan mencegah kekambuhan, disarankan untuk mengulangi konsumsi produk ini secara berkala.

Foto rontgen sendi lutut sebelum dan sesudah mengonsumsi bubuk Invanil

— Apakah Invanil hanya untuk mengobati penyakit sendi?

— Tidak. Invanil juga sangat efektif untuk berbagai gangguan sistem muskuloskeletal lainnya, seperti artritis, artrosis, osteokondrosis, rematik, dan berbagai kelainan sendi lainnya. Produk ini bekerja secara menyeluruh — tidak hanya meredakan gejala, tapi juga memperbaiki kondisi secara bertahap, bahkan pada kasus yang sudah kronis.

Hasil pengobatan sendi lutut

Hasil pengobatan artritis pada tangan

Kolagen yang menjadi bahan utama dalam bubuk ini juga memiliki manfaat luar biasa untuk kecantikan dan kesehatan tubuh. Zat ini mampu meremajakan kulit, menghilangkan noda hitam, serta membuat kulit tampak lebih kenyal dan elastis. Selain itu, kolagen juga memperkuat akar rambut, sehingga rambut rontok berkurang dan rambut tumbuh lebih lebat.Tak hanya itu, banyak pengguna melaporkan adanya peningkatan metabolisme setelah mulai mengonsumsi bubuk ini secara rutin. Hasilnya, proses pembakaran lemak menjadi lebih efektif dan berat badan pun turun secara alami.

Hasil peremajaan setelah mengonsumsi Invanil

Dengan Invanil, rambut tumbuh lebih lebat

Turun berat badan dalam 3 minggu bersama Invanil

— Saya rasa banyak pembaca kami penasaran, di mana bisa mendapatkan Invanil?

— Saat ini, Invanil sudah tersedia di Indonesia. Kami menjualnya langsung melalui situs resmi produsen agar bisa menghindari harga tinggi akibat campur tangan pihak ketiga atau perantara.

Efektivitas Invanil Sudah Terbukti dan Bersertifikat

Tampilan situs resmi produsen

Awalnya kami berencana mendistribusikannya melalui apotek, namun sayangnya sebagian besar apotek menolak bekerja sama. Hal ini tak lepas dari fakta bahwa produk yang benar-benar menyembuhkan tidak selalu menguntungkan bagi bisnis farmasi, yang lebih mengandalkan obat-obatan yang hanya meredakan gejala sementara tanpa menyelesaikan akar masalahnya.

Karena itu, kami memutuskan untuk menjual Invanil secara eksklusif lewat situs resmi produsen. Keuntungan dari metode ini cukup banyak — kami bisa menjual langsung kepada konsumen tanpa perantara, sehingga harga menjadi jauh lebih terjangkau, bahkan 4–5 kali lebih murah dibanding harga ritel di pasaran.

Pengiriman dilakukan melalui jasa pos ke seluruh wilayah Indonesia, dan pembayaran dapat dilakukan di tempat saat barang diterima (COD). Karena produk ini memang dirancang untuk digunakan sendiri di rumah, Anda tidak perlu pengawasan dokter. Meski begitu, saya tidak meminta Anda langsung percaya pada perkataan saya. Silakan bandingkan dengan produk lain di pasaran. Namun saya yakin, Anda akan sulit menemukan solusi yang lebih kuat dan efektif dibandingkan dengan Invanil.

— Terima kasih kepada Dokter Bima Satria atas wawancaranya yang sangat informatif! Sebelum kita akhiri, adakah pesan terakhir yang ingin Anda sampaikan kepada para pembaca kami?

— Saya ingin mengingatkan para pembaca bahwa penyakit sendi kini semakin sering terjadi dan tidak hanya menyerang orang lanjut usia. Bahkan rasa tidak nyaman atau nyeri ringan pada sendi sudah merupakan sinyal dari tubuh yang tidak boleh diabaikan.

Ingatlah, gangguan sendi yang disebabkan oleh masalah metabolisme dan peradangan bukan hanya menurunkan kualitas hidup, tapi juga bisa memperpendek usia. Jadi, rawatlah kesehatan sendi Anda sejak dini untuk mencegah dampak serius di kemudian hari.

Saya juga telah menghubungi pihak produsen untuk menanyakan masa berlaku promo. Berdasarkan informasi yang saya dapatkan, promo ini akan berlangsung hingga . Meski tidak diiklankan di TV atau radio, popularitas bubuk ini menyebar luas lewat testimoni nyata dari mereka yang telah sembuh berkat produk ini. Jujur saja, saya pun terkejut bahwa metode ini bisa mengalahkan kekuatan iklan.

Jadi, jika Anda beruntung membaca artikel ini sebelum tanggal yang disebutkan, jangan lewatkan kesempatan untuk memesan Invanil selagi stok masih tersedia. Saya sangat merekomendasikan produk ini.

Setiap pembaca situs kami berhak mendapatkan diskon hingga 50% untuk pembelian Invanil. Cukup klik salah satu bendera di bawah ini, isi formulir pemesanan, dan Anda akan menerima produk ini langsung ke rumah.

Khusus untuk pembaca kami, berikut ini adalah undian resmi dari pihak produsen.

Hingga

Selamat! Anda mendapatkan diskon 50% untuk Invanil

Pesan

Komentar

Agung Setyo

Saya sangat bersyukur karena Dokter Bima berhasil menciptakan produk ini. Sudah lama saya mencari solusi seperti ini. Saya sudah memesannya, dan pasti akan pesan lagi. Terima kasih banyak!

Rudi Yusrin

Saya pernah pesan bubuk ini untuk diri saya sendiri. Pengirimannya sangat cepat. Hasilnya pun mengejutkan. Dulu saya sering merasa sakit di bagian pinggang sampai sulit bergerak. Tapi sekarang rasanya seperti muda lagi! Saya bisa bekerja tanpa keluhan. Istri saya sampai senang sekali dan memotret saya diam-diam!

Dimas

Akhir-akhir ini saya mengalami nyeri sendi yang cukup parah. Lalu, saya juga mulai melihat tanda-tanda varises. Setelah mendengar banyak ulasan positif tentang Invanil, saya putuskan untuk mencobanya. Awalnya tidak berharap banyak, tapi hanya sehari setelah mulai mengonsumsinya, saya sudah merasakan perubahan besar. Sekarang saya lanjutkan pemakaiannya dan sangat senang dengan hasilnya.

Anina

Apotek-apotek itu cuma peduli sama uang kita. Teman saya kerja sebagai apoteker, katanya bosnya malah sering liburan ke Maladewa!

Vina Purwanti

Terima kasih kepada Dokter Bima atas produk luar biasa ini. Saya memesannya untuk suami dua bulan lalu karena ia sering mengeluh sakit punggung. Setelah mulai digunakan sesuai petunjuk, dia bilang rasa sakitnya hilang total. Sejak saat itu, rasa sakit tidak pernah kambuh lagi. Saya pun senang karena sekarang dia aktif membantu pekerjaan rumah!

Rafael

Saya juga sempat pesan dengan diskon 50% pas lagi promo! Awalnya saya agak ragu, tapi ternyata beneran bisa dapat diskon segitu.

Rosi

Teman kerja saya juga memuji Invanil ini. Dia bilang awalnya mengobati lututnya, lalu lanjut ke punggung. Katanya, semua rasa sakit hilang total, bahkan lebih efektif dari suntikan!

Yulia Rahma

Saya tahu betul ini produk yang luar biasa! Selama beberapa tahun terakhir saya sudah mencoba segala macam salep, suntikan, hingga obat-obatan, tapi tak ada yang benar-benar membantu. Untungnya, saudari saya menyarankan Invanil. Rasa sakit langsung hilang. Sayang dulu belum ada promo seperti sekarang, tapi saya pasti ikut sekarang. Produk seperti ini wajib ada di rumah.

Wilona Kartika

Akhirnya saya bisa bangun pagi tanpa rasa sakit! Setiap hari saya berterimakasih pada dokter Bima. Saya pertama kali tahu tentang beliau dari artikel di surat kabar dan langsung pesan produknya. Rasa sakit hilang, sendi saya sekarang bisa digerakkan, dan saya bisa jalan-jalan menikmati alam! Bahkan kondisi pembuluh vena saya pun membaik. Bahagia rasanya bisa hidup tanpa rasa sakit dan menikmati hidup sepenuhnya.

Satria Erwan

Benar, alam memang dokter terbaik. Kakek saya dulu selalu bilang, bahan kimia cuma merusak tubuh kita.

Teresia

Menarik juga. Sepertinya saya juga akan coba.

Eka Agung

Bubuk yang luar biasa! Baru seminggu saya konsumsi, tapi nyeri di tangan sudah hilang.

Fatiah Juni

Anak saya yang memesankan produk ini untuk saya. Awalnya saya tidak percaya dengan produk-produk modern seperti ini. Tapi harus saya akui tidak ada yang lebih manjur dari Invanil! Sekarang saya bisa kembali berkebun, bahkan sudah kembali berolahraga, hobi yang dulu saya tinggalkan.

Nisa Febrian

Saya pesan Invanil seminggu yang lalu, dan kemarin sudah diterima langsung diantar kurir ke rumah. Bungkusnya sesuai dengan yang dijanjikan ditambah lagi diskon 50% dari promo. Hari ini saya mulai pengobatan karena lutut saya benar-benar sakit parah. Sudah tidak tahan lagi.

Yogi Andreansyah

Saya dulu mengalami sakit pinggang yang luar biasa. Sampai-sampai mengikat tali sepatu saja terasa menyiksa. Awalnya saya ragu untuk memesan Invanil meski banyak ulasan bagus. Tapi sekarang saya menyesal tidak mencoba lebih awal. Rasa sakit hilang, dan saya bisa bergerak bebas lagi.

Ade Ilyas

Sudah hampir sebulan saya rutin mengonsumsi Invanil, dan saya sangat puas dengan hasilnya. Saya didiagnosis menderita artrosis lutut tingkat awal, dan dokter di klinik bilang bahwa penyakit ini tidak bisa disembuhkan, hanya bisa dicegah agar tidak memburuk. Tapi setelah konsumsi Invanil, kondisinya malah membaik!

Beni Surya

Produk ini luar biasa! Langsung meredakan nyeri. Saya minum bubuknya setiap hari, dan sekarang sudah lupa rasanya sakit itu. Saya buktikan sendiri bahwa produk ini benar-benar bekerja, jangan ragu.

Icha Asyifa

Beberapa tahun lalu, kami berhasil menyembuhkan lutut suami saya yang sudah bertahun-tahun bermasalah. Kami sudah mencoba berbagai cara seperti suntikan, salep, dan lainnya. Saya sempat putus harapan, karena suami bahkan sudah tidak bisa naik tangga. Setelah menjalani satu siklus Invanil, dalam beberapa hari saja rasa sakitnya mulai reda. Sekarang ia bisa bermain dengan cucu, duduk jongkok, dan naik tangga tanpa masalah.

Heni Atika

Saya sempat terjatuh karena sakit punggung saat sedang di kebun. Untungnya tetangga saya datang menolong dan memberi saya Invanil. Hanya 20 menit setelah digunakan, rasa sakit mulai hilang. Tapi punggung masih kadang kambuh. Akhirnya saya memesan satu program penuh dan setelah itu, semua nyeri hilang total. Sekarang saya bisa berkebun seharian tanpa masalah!

Paisal Ahmad

Terima kasih atas informasinya! Saya sudah 12 tahun hidup dengan osteoartritis lutut. Sebenarnya bukan "hidup", tapi sekadar bertahan. Sakitnya terkadang begitu hebat hingga membuat saya menangis. Saya sudah coba semua salep dan obat-obatan, bahkan beli penyangga lutut tapi tidak banyak membantu. Dan semuanya mahal, padahal saya hanya pensiunan. Akhirnya saya coba peruntungan dan berhasil dapat diskon 50% untuk Invanil. Semoga berhasil.

Aruna

Invanil ini benar-benar solusi yang tepat untuk artrosis! Saya dapat diskon lewat undian, meskipun dokter saya sempat tidak menyarankan. Tapi sekarang justru dia yang terkejut bahkan dari hasil rontgen pun terlihat ada kemajuan! Saya akan lanjutkan satu siklus penuh dan lihat apa komentar dokter setelah itu.

Faris Alfi

Pertama-tama saya ingin mengucapkan terima kasih kepada seluruh tim pencipta Invanil atas penemuan luar biasa ini! Jujur, awalnya saya skeptis dan menganggap ini cuma "obat ajaib" seperti yang lain. Tapi setelah hidup tanpa rasa sakit, saya hanya bisa bersyukur kepada para penciptanya! Dalam sebulan saya benar-benar lupa apa itu nyeri sendi. Saya bahkan kembali berolahraga! Dulu saya pelari profesional, tapi karena artrosis, berjalan pun sulit. Sekarang saya merasa sehat sepenuhnya! Dan karena semua orang di sini berbagi foto, saya juga mau berbagi pencapaian saya.

Amanda Dea

Saya memesan Invanil dan sekarang seluruh keluarga memakainya. Saya seperti hidup kembali! Bisa berjalan, bergerak, bahkan kami sempat renovasi rumah dari mulai mengecat lantai, pasang wallpaper, dan sebagainya. Saya juga membantu anak perempuan saya mengurus cucu. Terima kasih banyak! Semoga Anda semua diberi kesehatan dan sukses dalam pekerjaan mulia ini. Produk ini benar-benar bagus, ambillah, kalian tidak akan menyesal!

Fauzan Athar

Sudah tiga minggu saya mengonsumsi bubuk ini untuk rematik dan poliarthritis. Saya mulai merasakan perbedaan besar: tangan saya kembali bisa digerakkan! (Sebelumnya saya bahkan tidak bisa bangun dari tempat tidur tanpa bantuan). Hasilnya jauh melampaui harapan, padahal awalnya saya tidak percaya bisa seefektif ini.

Aisya

Kerja duduk ternyata juga bisa merusak tubuh. Padahal saya kerja kantoran dan tidak terlalu berat, tapi punggung sakit sekali. Saya tidak bisa berdiri lama atau membungkuk. Varises pun mulai muncul, pembuluh darah membengkak. Saya harap Invanil bisa membantu. Sekarang sudah hari ketiga saya minum. Saat diam dan berjalan, nyerinya sudah hilang. Semoga benar-benar sembuh... Untung saya dapat diskon 50%, sangat hemat!

Zidan Abi

Setelah menjalani satu siklus Invanil, kondisi saya jauh membaik. Rasa sakit hilang, saya bisa berjalan normal lagi, dan tidak ada lagi bunyi ‘krek’ di sendi. Punggung kembali lentur, kaki tidak lagi bengkak. Saya sangat bersyukur bisa menemukan produk ini. Dua bulan saya konsumsi bubuknya, dan menurut saya hasilnya luar biasa.

Lysha Anita

Saya menderita artrosis pada sendi panggul sebelah kiri. Jalan kaki sangat menyakitkan. Sudah menjalani berbagai prosedur dan suntikan. Awalnya membaik, tapi setelah sebulan kondisinya memburuk lagi. Sekarang saya memutuskan mencoba Invanil.

Tata Iwan

Saya mengalami nyeri luar biasa di sendi bahu, sampai-sampai saat pakai jaket saya harus gigit bibir menahan sakit. Tapi sekarang sudah pulih dalam waktu 1,5 bulan berkat Invanil.

Indah Pratiwi

Saya berusia 71 tahun dan sudah sangat menderita. Artritis membuat saya tak tenang siang maupun malam karena nyeri sendi mengganggu hidup saya sepenuhnya. Sendi saya sudah berubah bentuk. Tapi suatu hari, teman saya memberi saya beberapa majalah dan koran. Di situ saya membaca tentang seorang tenaga medis luar biasa dan penemuan hebatnya. Saya pun membeli produk tersebut. Saya bahkan minumnya tiga kali sehari, meski anjurannya hanya sekali. Dalam waktu sekitar tiga minggu, nyeri saya reda dan akhirnya hilang. Saya langsung menelepon semua orang yang saya kenal dan merekomendasikan Invanil. Saya sangat berterima kasih atas produk luar biasa ini.

Tegar Aprilo

Saya membaca semua ulasan di sini dan sangat ingin percaya. Saya menderita osteoartritis tahap 2, kista Baker, dan sinovitis. Saya tidak yakin apakah Invanil bisa membantu saya, tapi saya berharap.

Chandra Rega

Pak Tegar, saya punya diagnosis yang sama. Untuk kondisi seperti itu memang butuh waktu sekitar dua bulan. Saya juga awalnya ragu, tapi setelah dua bulan, semua keluhan saya hilang.

Nurul Rizky

Sudah tiga tahun saya menjalani pengobatan dari dokter, tapi belum juga mendapatkan hasil yang memuaskan. Sekarang saya benar-benar berharap Invanil bisa membantu. Saya sudah melakukan pemesanan, dan tadi petugas perempuan yang menelepon sangat ramah dan memberikan penjelasan lengkap. Sekarang saya tinggal menunggu paketnya sampai.

Dimas

Terima kasih untuk artikelnya. Sangat menarik. Memang benar, banyak resep dari dokter yang tidak memberikan hasil. Saya sudah 7 tahun mengobati sendi dan belum ada perkembangan signifikan.

Farhan

Saya juga punya pengalaman positif. Baru menggunakan Invanil selama 10 hari, dan langsung terasa perbedaannya. Produk ini direkomendasikan oleh seorang teman saya, dan saya sangat bersyukur telah mencobanya.

Sheila

Saya ikut undian diskon Invanil dan berhasil mendapatkan potongan harga 50%! Promonya sangat menyenangkan dan tidak saya sangka! Terima kasih atas kesempatan ini!

Anisa Alfarizi

Saya menderita artritis dan sendi tangan saya terasa sangat nyeri sampai-sampai saya tidak bisa melakukan apa pun. Selama dua tahun saya menahan rasa sakit itu. Tapi setelah mencoba Invanil, dalam seminggu saja saya mulai merasakan kelegaan! Sekarang saya merasa luar biasa. Ini produk terbaik yang pernah saya coba. Saya selalu simpan di rumah begitu mulai terasa sakit, saya langsung pakai, dan nyerinya langsung hilang! Sekarang saya bisa kembali ke hobi saya.

Ade Lando

Kemarin saya sudah ambil kiriman dari kantor pos. Sekarang siap memulai penggunaannya.

Dapatkan Invanil